Objective: To describe a case of activity and position-dependent hemifacial spasm (HFS)
Background: Similar case reports include: HFS induced by turning to the left after a brainstem stroke[1], HFS caused by an aneurysm compressing the facial nerve when resting on a pillow which resolved with head held back[2], right-sided HFS caused by an ectatic vertebrobasilar artery when turning to the left[3], HFS caused by compression of facial and trigeminal nerves by vertebral artery with extension of the head [4], and HFS caused by bilateral compression of bilateral facial nerves[5].
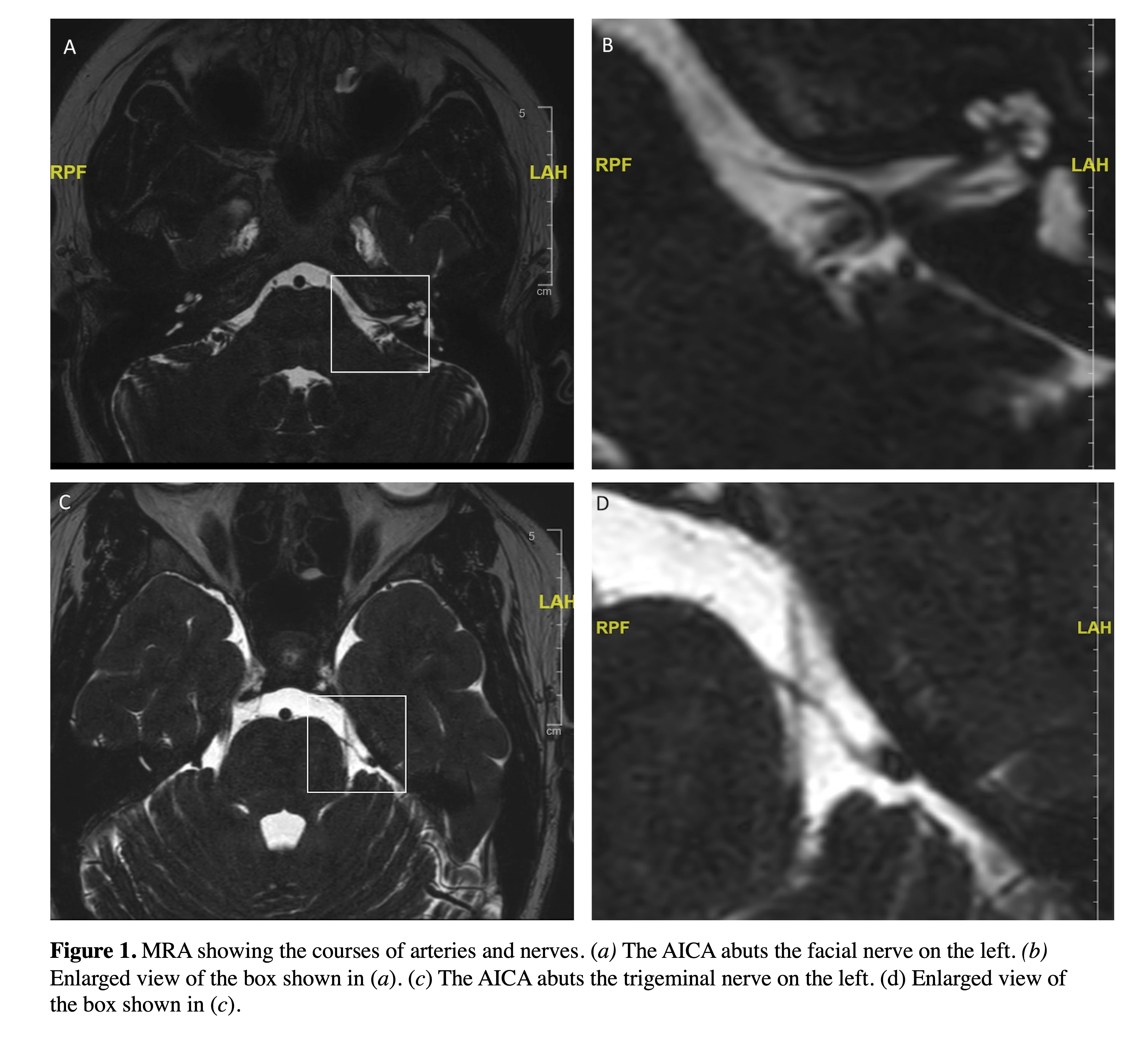
Method: A 29-year-old female presented with intermittent left HFS provoked by lying prone, lifting weights, eating, or drinking. She experienced a flapping sound, shooting pain, and numbness on the left during episodes. An episode was induced in office by lying prone which lasted 3-4 minutes. A repeat MRA revealed that the anterior inferior cerebellar artery (AICA) abutted both the trigeminal and the facial nerves on the left side [Figure 1]The AICA was also noted to abut the right facial nerve. Left retrosigmoid craniotomy was performed with decompression of the left facial nerve. She then experienced worsening HFS on the right which was not position-dependent. Decompression was performed on the right.
Results: Craniotomy revealed four offending vessels: the AICA, posterior inferior cerebellar artery, and two small vessels on the cranial nerve 7-8 complex. Facial nerve stimulation at 0.05 milliamps showed lateral spread, which decreased initially, then returned to baseline after complete decompression. The patient experienced left sided resolution of the HFS after initial decompression, and right sided resolution after the second decompression.
Conclusion: This is the first case of facial nerve compression causing both activity and position-dependent HFS. Some prior cases describe position-dependent HFS but none associated with activity. In this case, the unique presentation of both position and activity dependent HFS was caused by the AICA looping over the facial nerve on the left, which is similar to the cause of HFS in other cases. The AICA also abuts the trigeminal nerve, likely causing the patient’s numbness and shooting pain. The HFS on the right was not position dependent, though it was caused by similar compression of the facial nerve by the AICA.
figure 1
References: 1. Schiess RJ, Biller J, Toole JF. Position-dependent hemifacial spasm. Surg Neurol. 1982; 17:423-5.
2. Moore AP. Postural fluctuation of hemifacial spasm. Case report. J Neurosurg. 1984; 60:190-1.
3. Perlmutter DH, Petraglia AL, Barbano R, Schwalb JM. Microvascular decompression in patient with atypical features of hemifacial spasm secondary to compression by a tortuous vertebrobasilar system: case report. Neurosurgery. 2010; 66:E1212
4. Xie T, Christoforidis GA. Position-Related Paroxysmal Facial Twitching. Mov Disord Clin Pract. 2021; 8:807-808.
5. Tan EK, Jankovic J. Bilateral hemifacial spasm: a report of five cases and a literature review. Mov Disord. 1999;14:345-9.
To cite this abstract in AMA style:
C. Adams, T. Peckham, A. Samii. Activity and Position-Dependent Hemifacial Spasm Caused by Neurovascular Compression: A Case Report [abstract]. Mov Disord. 2025; 40 (suppl 1). https://www.mdsabstracts.org/abstract/activity-and-position-dependent-hemifacial-spasm-caused-by-neurovascular-compression-a-case-report/. Accessed December 11, 2025.« Back to 2025 International Congress
MDS Abstracts - https://www.mdsabstracts.org/abstract/activity-and-position-dependent-hemifacial-spasm-caused-by-neurovascular-compression-a-case-report/

