Category: Huntington's Disease
Objective: To describe a patient with Huntington disease and acquired (non-Wilsonian) hepatocerebral degeneration (AHD) presenting with ataxia.
Background: AHD is a neurological disorder that occurs as a complication of chronic liver disease. Neurological manifestations include: 1) parkinsonism and ataxia, 2) cognitive impairment along with psychiatric symptoms, and 3) myelopathy. Its neuroradiological marker is a T1 hyperintensity observed in brain MRI scans. Huntington’s Disease (HD) is a genetic neurodegenerative disorder caused by CAG repeat expansion in the huntingtin gene, leading to motor, cognitive, and psychiatric symptoms. While their coexistence is unreported, emerging evidence suggests that manganese dysregulation may play a role in the pathophysiology of HD.
Method: The patient’s clinical course and neurological examination were monitored for two years. Diagnostic tests included copper studies and a brain MRI. Genetic testing was conducted because of a recent family history of Huntington’s disease. Neurological follow-up assessed symptom progression and response to treatment.
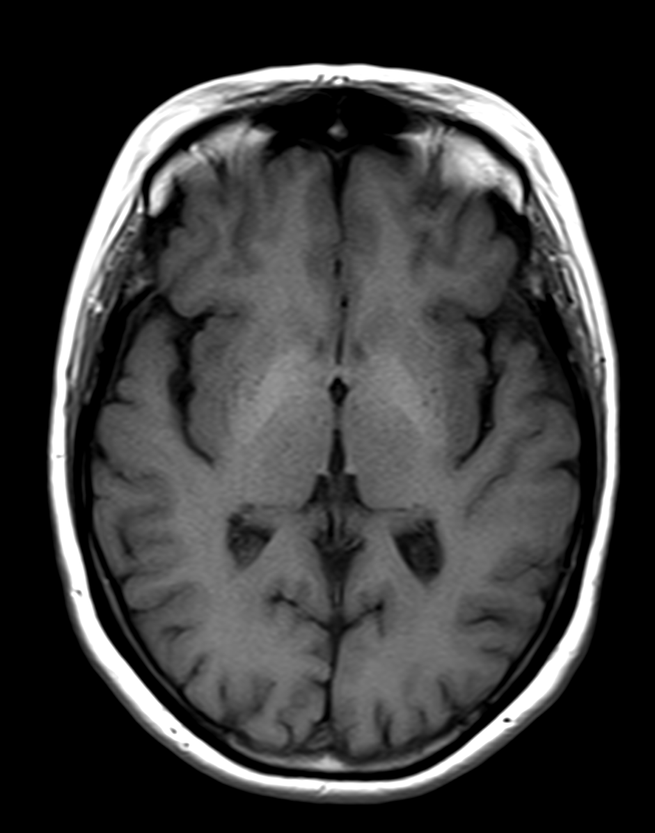
Results: A 58 years old female patient with a medical history of depressive disorder, type 2 diabetes mellitus, hypothyroidism, and autoimmune hepatitis presented with recurrent falls over the past year. Her neurological examination identified an ataxic gait as the sole abnormality. Magnetic resonance imaging (MRI) of the brain demonstrated hyperintensity on T1-weighted sequences in the globus pallidus [Figure 1], interpreted as indicative of manganese deposition resulting from chronic liver disease. The patient received a diagnosis of AHD. Her mother had a documented history of ataxia and late-onset chorea. Genetic testing confirmed HD in the mother. Genetic testing for the patient revealed an expansion of 44 CAG repeats in one allele and 17 repeats in the other allele.
Conclusion: The coexistence of HD and AHD highlights a potential interaction between manganese accumulation and HD pathophysiology, suggesting that accumulation could influence the clinical expression of HD. Clinicians should consider metabolic and toxic influences in atypical presentations of neurodegenerative disorders, emphasizing the importance of early diagnostic screening in patients with liver disease and unexplained neurological symptoms.
Brain MRI. High T1 signal in the globi pallidi
To cite this abstract in AMA style:
V. Montero, N. Valdés, á. Pontoni, P. Salles. Ataxia, the initial symptom in a patient with Huntington’s Disease and Acquired (non-Wilsonian) Hepatocerebral Degeneration [abstract]. Mov Disord. 2025; 40 (suppl 1). https://www.mdsabstracts.org/abstract/ataxia-the-initial-symptom-in-a-patient-with-huntingtons-disease-and-acquired-non-wilsonian-hepatocerebral-degeneration/. Accessed December 11, 2025.« Back to 2025 International Congress
MDS Abstracts - https://www.mdsabstracts.org/abstract/ataxia-the-initial-symptom-in-a-patient-with-huntingtons-disease-and-acquired-non-wilsonian-hepatocerebral-degeneration/

