Objective: To describe the cases of two siblings diagnosed with Pantothenate Kinase-Associated Neurodegeneration (PKAN) with mutations in the PANK2 gene.
Background: PKAN is part of a group of iron accumulation disorders in the basal ganglia (BG) due to a mutation in the PANK-2 gene, resulting in an inherited metabolic error of vitamin B5, which is essential for the production of coenzyme A. This leads to abnormal accumulation of compounds such as iron in brain structures. Clinically, it presents with dystonia, cognitive dysfunction, pyramidal signs, and retinal abnormalities. Magnetic Resonance Imaging (MRI) reveals the characteristic “tiger eye” sign, and treatment includes medications, botulinum toxin, and deep brain stimulation (DBS) surgery.
Method: Demographic information and clinical characteristics of patients are summarized in table 1. History of both originating from and residing in Michoacán, México, with no consanguinity, endogamy, or family history. Age of onset was <20 years in both cases.
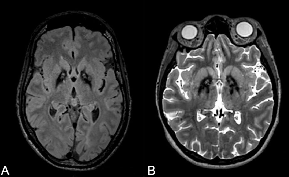
Results: Genetic study revealed 3 mutations (c.332T>A, c.1211A>T, and c.1405G>C) in heterozygosity and 1 mutation (c.377G>C) in homozygosity of the PANK2 gene. MRI showing “tiger eye” sign in the globus pallidus of both patients (Image 1 A and B). Treatment with botulinum toxin showed no improvement. Placement of DBS in July 2024 (♂STN and ♀GPi). Unified Dystonia Rating Scale (UDRS), post-botulinum toxin application, and post-DBS placement, with improvement of ♂ 11% and ♀ 63% (Graphic 1).
Conclusion: PKAN is an uncommon entity. Both patients exhibited an atypical presentation, with a disease course exceeding 15 years without neuropsychiatric, cognitive, or ophthalmological alterations, and were refractory to treatment with botulinum toxin. In these cases, DBS represented a useful therapeutic option for the improvement of motor symptoms.
Table 1. Demographic information
Image 1. RM (19.07.24) A ♂ 33 y. B♀28 y.
Graphic 1
To cite this abstract in AMA style:
H. Pacheco, V. Gómez, L. Núñez. Atypical presentation of Pantothenate Kinase-Associated Neurodegeneration in two siblings with a PANK-2 gene mutation: A case report and literature review. [abstract]. Mov Disord. 2025; 40 (suppl 1). https://www.mdsabstracts.org/abstract/atypical-presentation-of-pantothenate-kinase-associated-neurodegeneration-in-two-siblings-with-a-pank-2-gene-mutation-a-case-report-and-literature-review/. Accessed December 7, 2025.« Back to 2025 International Congress
MDS Abstracts - https://www.mdsabstracts.org/abstract/atypical-presentation-of-pantothenate-kinase-associated-neurodegeneration-in-two-siblings-with-a-pank-2-gene-mutation-a-case-report-and-literature-review/



