Category: Dystonia: Genetics
Objective: To delineate the clinical phenotype and molecular spectrum of alkaline ceramidase 3 -related disease (ACER3-RD) by characterizing 60 patients from 55 independent families.
Background: Biallelic variants in ACER3 have recently been linked to early-onset leukodystrophy in 3 case reports describing 5 families with 7 patents. Here we describe previously unreported 53 patients from 50 unrelated families with biallelic variants in ACER3 and cumulatively delineate the phenotypic spectrum of ACER3-RD.
Method: Exome sequencing, data sharing, screening the genetic databases of several international genetic laboratories, and GeneMatcher were used to identify the patients here. ACER3 enzyme activity, lipidomics in patient fibroblasts, mutagenesis, functional assays, and protein modeling were performed.
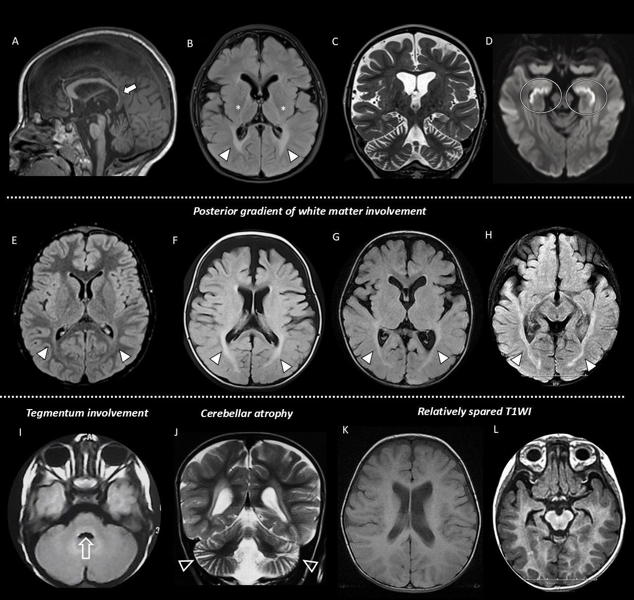
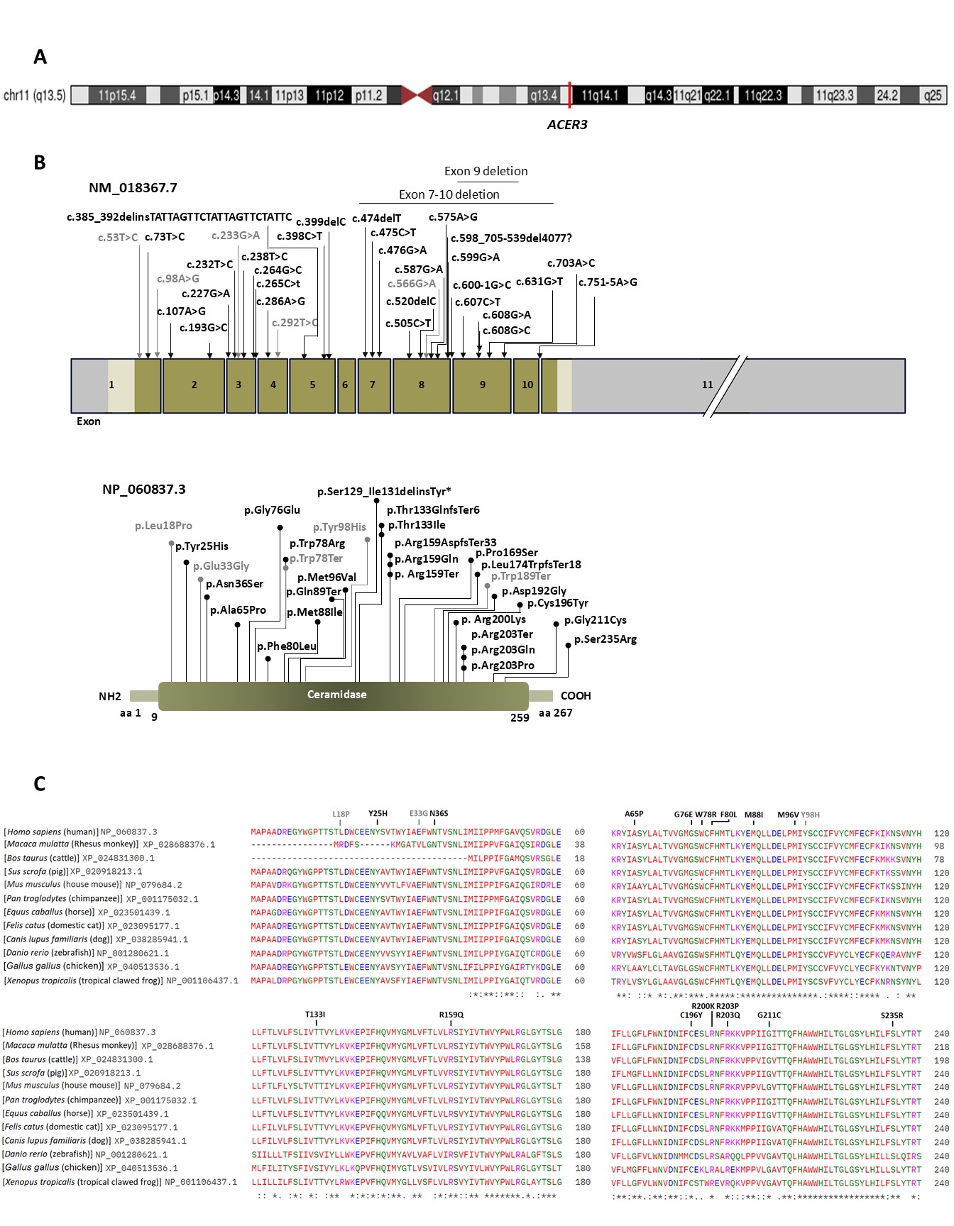
Results: The cohort is composed of 60 patients from 55 families. 45 individuals are currently alive with a mean age of 6.6±4.9 years (range 1.4-18). 19 patients (30%) died between the ages of 3 and 19 years due to the rapidly progressive disease. Premature death at the mean age of 6.0±4.3 was observed in 30% of cases and the mean age of the alive patients is 6.6±4.9. The disease presents with predominantly infantile-onset (88%), moderate (51%) and rapidly (40%) progressive neurological deficit manifesting with global developmental delay (71%) or developmental regression (98%)/stagnation (86%) commonly resulting in limbs spasticity (92%), limb dystonia (73%) and axial hypotonia (73%), feeding difficulties (60%), and joint contractures (45%), scoliosis 17/48 (38%), and epileptic seizures 12/39 (31%). Dysmorphology assessment revealed a consistent facial gestalt in 9/17 patients. Neuroimaging analysis revealed invariable posterior gradient white matter signal changes and diffuse cerebral volume loss (73%) (Fig.1) ACER3 variants identified in the cohort are presented in Fig.2. Functional studies reveal significantly reduced ceramide hydrolysis. Mutant analysis identifies functional hot spots, with in vitro assays showing a 2–40% decrease in ceramidase activity. Lipidomic analysis confirms a 50% increase in ceramide and sphingomyelin levels, alongside reduced sphingosine (Fig.3, 4).
Conclusion: Biallelic variants in ACER3 are associated with infantile and childhood-onset neurodegeneration with progressive leukodystrophy.
Figure 4.
Figure 3
Figure 1
Figure 2.
To cite this abstract in AMA style:
R. Kaiyrzhanov, A. Study Group, H. Houlden, R. Maroofian. Biallelic Variants in ACER3 Encoding Alkaline Ceramidase 3 Cause Infantile- and Early-Childhood-Onset Neurodegeneration with Progressive Leukodystrophy [abstract]. Mov Disord. 2025; 40 (suppl 1). https://www.mdsabstracts.org/abstract/biallelic-variants-in-acer3-encoding-alkaline-ceramidase-3-cause-infantile-and-early-childhood-onset-neurodegeneration-with-progressive-leukodystrophy/. Accessed December 11, 2025.« Back to 2025 International Congress
MDS Abstracts - https://www.mdsabstracts.org/abstract/biallelic-variants-in-acer3-encoding-alkaline-ceramidase-3-cause-infantile-and-early-childhood-onset-neurodegeneration-with-progressive-leukodystrophy/




