Category: Drug-Induced Movement Disorders
Objective: To present a clinical case of cerebellar syndrome and parkinsonism linked to acquired hepatocerebral degeneration exhibiting atypical radiological abnormalities.
Background: Acquired hepatocerebral degeneration (AHCD) may develop following multiple instances of liver failure or persistent cirrhosis. Patients with AHCD exhibit a diverse clinical presentation, mostly characterized by movement disorders including parkinsonism and oromandibular dyskinesias. Nevertheless, the presence of additional anomalies may complicate the diagnosis. Common neuroimaging results demonstrate T1 hyperintensity in the basal ganglia. A variable percentage of patients may exhibit atypical anomalies in different anatomical regions.
Method: A 56-year-old male patient with cirrhosis secondary to non-alcoholic steatohepatitis and hepatic encephalopathy, presently undergoing pre-transplant assessment (Child B). Following an episode of hepatic encephalopathy, the patient underwent evaluation for probable alcoholic hepatitis with cirrhosis and decompensation (AHCD).
Results: The patient displayed bradyphrenia and cerebellar dysarthria characterized by scanning speech. The cranial nerves were functioning properly. Bilateral postural and kinetic tremor with an intentional component was observed, accompanied with myoclonic jerks and appendicular bradykinesia in the hands and fingers, with minor bradykinesia in the feet. Mild bilateral ataxia, primarily affecting the upper limbs, was noted. The gait exhibited an expanded base width and irregular tandem ambulation. Mild rigidity was observed in the cervical region, as well as in the right and left upper and lower limbs. Mild dyskinesias manifested in the lower limbs during upper limb movements, accompanied by oromandibular dyskinesias upon activation.
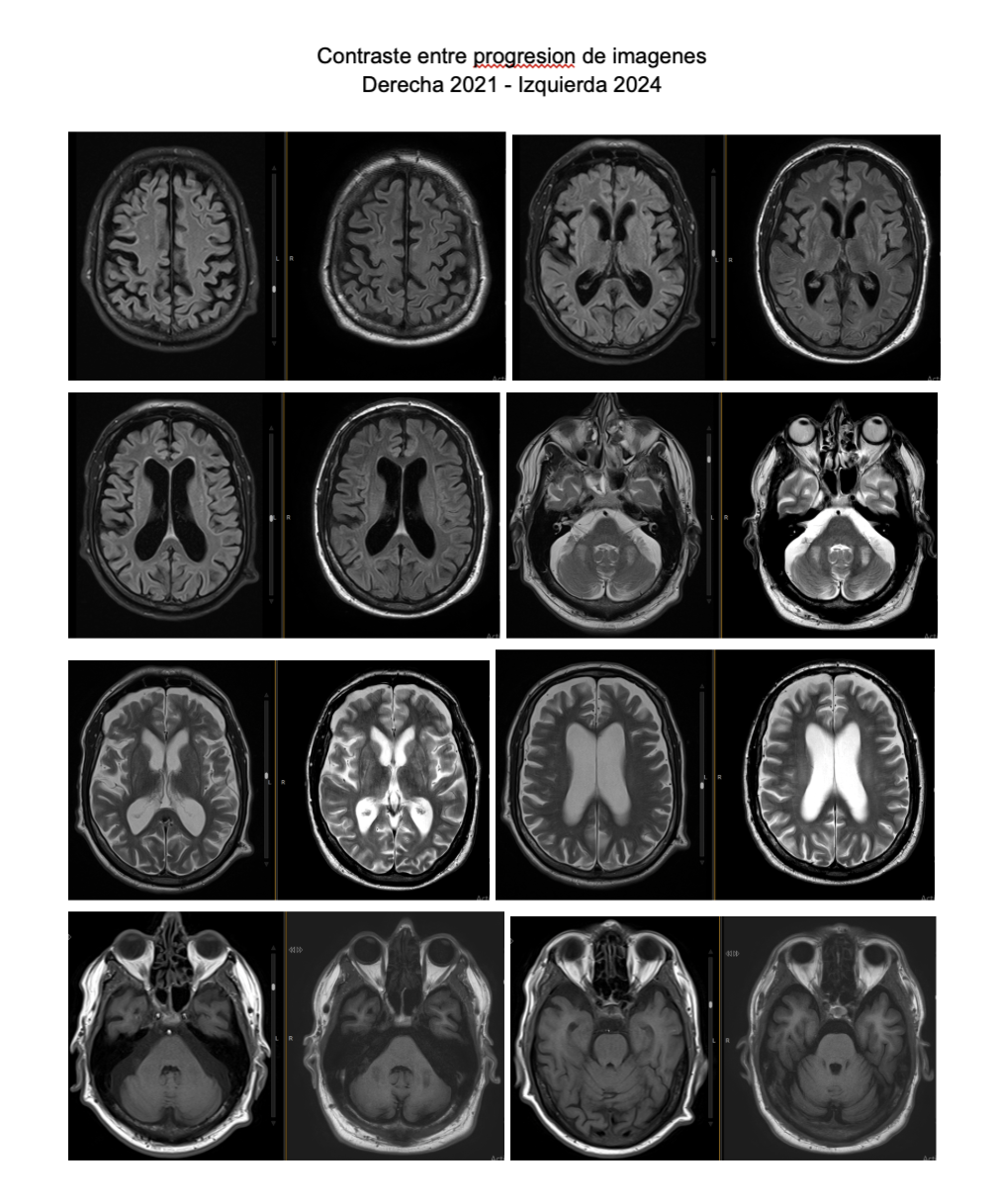
Magnetic resonance imaging (T1 sequence) revealed hyperintensity in the basal ganglia and cerebellar peduncles
Conclusion: This case underscores the neurological clinical heterogeneity in patients with chronic liver disease and suggests the cerebellum as an additional target organ, alongside the basal ganglia, for manganese accumulation resulting from portosystemic shunting associated with chronic cirrhosis.
RMN Images
To cite this abstract in AMA style:
R. Sanjinez, J. Bestoso. Cerebellar Syndrome and Parkinsonism Associated with Acquired Hepatocerebral Degeneration with Unusual Findings on Neuroimaging. [abstract]. Mov Disord. 2025; 40 (suppl 1). https://www.mdsabstracts.org/abstract/cerebellar-syndrome-and-parkinsonism-associated-with-acquired-hepatocerebral-degeneration-with-unusual-findings-on-neuroimaging/. Accessed November 7, 2025.« Back to 2025 International Congress
MDS Abstracts - https://www.mdsabstracts.org/abstract/cerebellar-syndrome-and-parkinsonism-associated-with-acquired-hepatocerebral-degeneration-with-unusual-findings-on-neuroimaging/

