Category: Ataxia
Objective: To describe a clinical case of tumor-induced cerebellar ataxia in an elderly patient.
Background: Ataxia can result from various etiologies, including neurodegenerative diseases, stroke, and metabolic disorders, space-occupying lesions such as tumors can also lead to significant cerebellar dysfunction. In cases where a tumor develops of the temporal bone typically manifests as gait instability, dysmetria, dysarthria, and impaired fine motor coordination, often affecting the ipsilateral side of the body. Early recognition of ataxia symptoms in patients with suspected temporal bone tumors is crucial for timely diagnosis and intervention. Treatment options depend on the tumor type and may include surgical resection or targeted therapy.
Method: Patient G., 66 years old, was admitted with complaints for dizziness, for falling on the right side during various movements and walking. The above symptoms have been bothering him for 2 months.
Life history: Patient was diagnosed with brain tumor in 2021, Radiation surgery in 2021. MRI every 6 month Tumor size didn’t expand in, we can consider this for positive result.
Neurological examination: the patient is conscious, oriented in time and place. The sensitive area is unchanged. Eye movement is complete. There are no vertical saccades. The pupils are the same D=S. Horizontal nystagmus is observed. There are no face zone triggers. The face is symmetrical. There is no smoothness of the nasolabial triangle. The tongue occupies a central position, the uvula in the center. There are no swallowing disorders. The pharyngeal reflex is evoked. Hearing is not impaired. Tendon reflexes: evoked from the arms and legs. Static coordination tests are performed with intention. In the Romberg pose (normal) – not stable, in the complicated one – ataxia is observed.
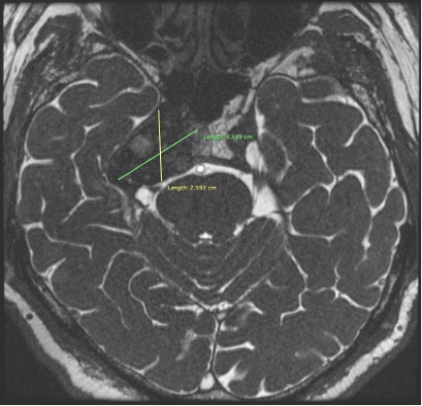
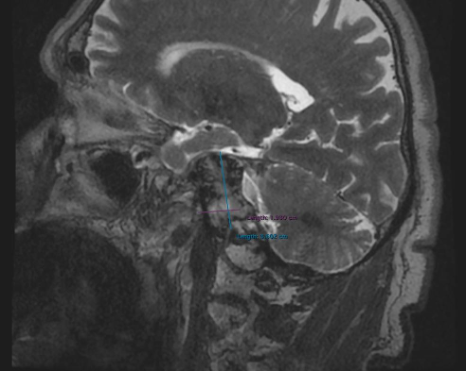
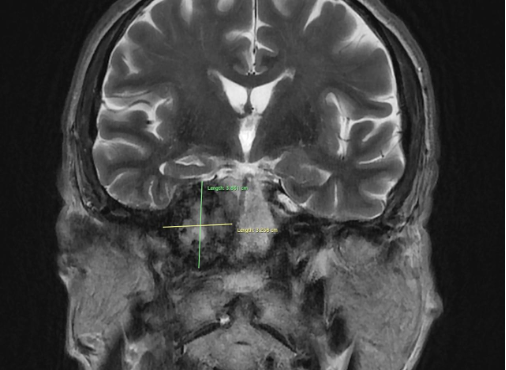
Results: Brain MRI (1,5 Tesla): MRI of the brain demonstrates a lesion in the right temporal bone region (squoma part) with mass effect on adjacent structures. The lesion measures (38х25х33 cm) and exhibits characteristics suggestive of a space-occupying process. Findings include: possible involvement of the brainstem and surrounding neurovascular structures, no evidence of acute hemorrhage, hydrocephalus, or significant midline shift.
Conclusion: This case underscores the necessity of a multidisciplinary approach involving neurologists, neurosurgeons, and oncologists for optimal patient management. This patient was directed to physiotherapist.
Axial
Sagittal
Frontal
To cite this abstract in AMA style:
B. Mukhammedaminov, N. Aripova, L. Kenjaeva, Y. Nishonova. Clinical case of cerebellar ataxia associated with temporal bone tumor [abstract]. Mov Disord. 2025; 40 (suppl 1). https://www.mdsabstracts.org/abstract/clinical-case-of-cerebellar-ataxia-associated-with-temporal-bone-tumor/. Accessed December 5, 2025.« Back to 2025 International Congress
MDS Abstracts - https://www.mdsabstracts.org/abstract/clinical-case-of-cerebellar-ataxia-associated-with-temporal-bone-tumor/



