Category: Ataxia
Objective: To describe a clinical case of Sporadic adult-onset ataxia(SAOA)
Background: Sporadic ataxia in adults is a heterogeneous neurological condition characterized by progressive impairment of coordination,balance,and motor control in the absence of a clear hereditary or acquired cause.Unlike hereditary ataxias, which are linked to genetic mutations,sporadic ataxias develop without a known familial pattern.Epidemiologia is 2.2 to 8.4 per 100 000[1].Patients with sporadic ataxia typically present with:gait instability and imbalance,dysmetria (impaired limb coordination),dysarthria (slurred speech),nystagmus and oculomotor dysfunction,progressive worsening over time without clear familial inheritance.The clinical course varies depending on the etiology, with some forms showing a relatively slow progression.There is no disease-modifying therapy,and treatment is primarily symptomatic.
Method: Patient R.,63 years old,was admitted with complaints of dizziness when changing body position,instability when walking with closed eyes.The above symptoms have been bothering his for 5-6 years.Life history:without developmental features.Neurological examination: the patient is conscious, oriented in time and place.The sensitive area is changed-neuropathy. Visual acuity is reduced;Vertical and horizontal nystagmus is observed.Static coordination tests are performed with intention.In the Romberg pose (normal) – stable,in the complicated one-ataxia and tandem gait are observed.Hyperkinetic syndrome – yes.Fukuda (Utenberg) test 20 steps-With pronounced unsteadiness to the sides,execution in the central position is impaired.«Head shake test»-Increased vertical nystagmus+transition to multidirectionality.
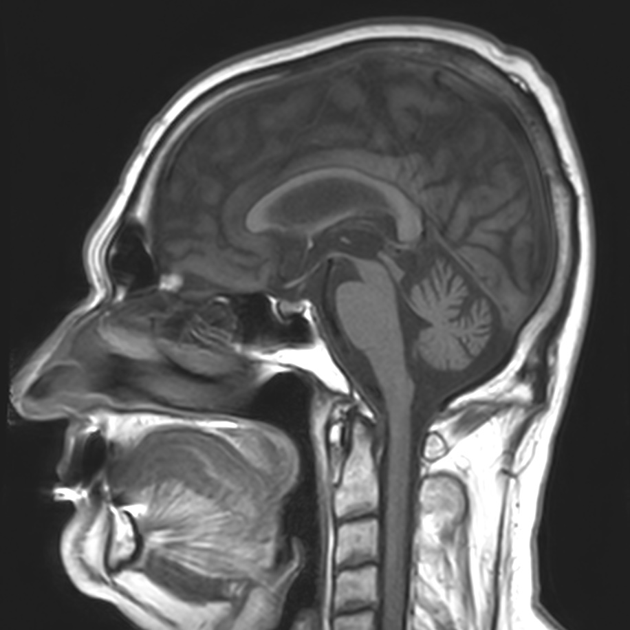
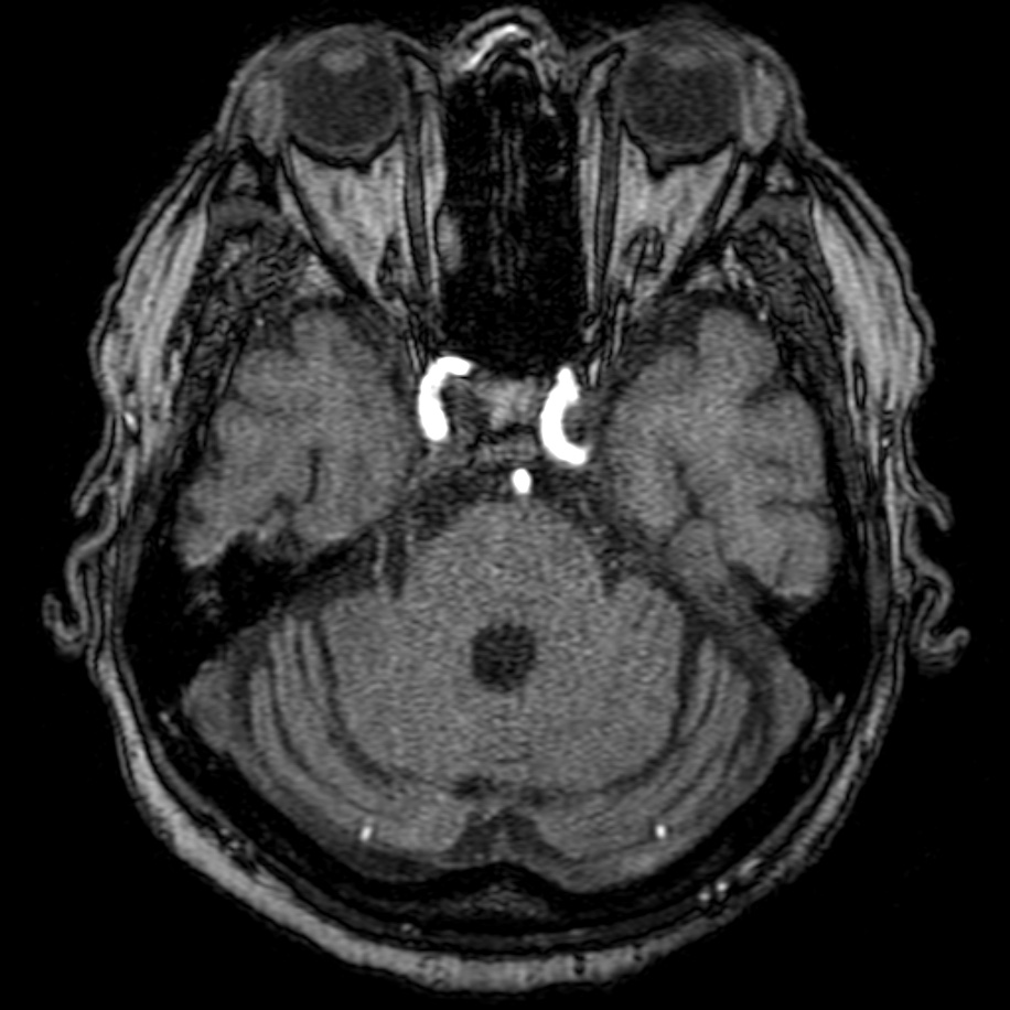
Results: The patient’s BP = 110/70 mm Hg,during the cardiovascular test the arterial pressure did not change.Comprehensive diagnostics of the vestibular analyzer function using computer VNG(videonystagmography)/vHIT at the time of examination-the nystagmus pattern corresponds to vestibulopathy of central genesis-Cerebellar ataxia.Based on the results of an MRI of the brain (3 Tesla),the diagnosis was made:Sporadic adult-onset ataxia; there are signs of isolated cerebellar atrophy in T1 mode
Conclusion: Sporadic ataxia in adults remains a diagnostic challenge due to its varied etiology and progressive nature.A multidisciplinary approach involving neurology, neuroimaging, and laboratory testing is essential for accurate diagnosis and management.
MRI of brain
MRI of the brain
References: 1.https://pubmed.ncbi.nlm.nih.gov/21827893
To cite this abstract in AMA style:
N. Aripova, L. Kenjaeva, B. Bakhtiyor, Y. Nishonova. Clinical case of Sporadic adult-onset ataxia [abstract]. Mov Disord. 2025; 40 (suppl 1). https://www.mdsabstracts.org/abstract/clinical-case-of-sporadic-adult-onset-ataxia/. Accessed December 5, 2025.« Back to 2025 International Congress
MDS Abstracts - https://www.mdsabstracts.org/abstract/clinical-case-of-sporadic-adult-onset-ataxia/


