Category: Choreas (Non-Huntington's Disease)
Objective: To present a clinical case of a Chilean ChAC patient with a new compound heterozygous VPS13A variant.
Background: Neuroacanthocytosis is a group of genetic diseases characterized by the presence of acanthocytes and progressive neurological decline. Chorea-acanthocytosis (ChAc) is a very rare autosomal recessive neurodegenerative disorder caused by pathogenic variants in VPS13A. Only 500-1000 cases have been reported, (1) with 5 of them being Chilean (2,3). Clinical manifestations include progressive chorea, orofacial lingual dyskinesia, seizures, cognitive impairment and psychiatric symptoms.
Method: A comprehensive neurological assessment and detailed family history were obtained. Cognitive evaluation, brain MRI, electromyography (EMG), echocardiography, and laboratory investigations were conducted. Genetic testing included analysis of HTT CAG repeat expansions and next-generation sequencing (NGS) panel for chorea/dystonia. VPS13A analyses were performed in the proband’s family. Informed consent was obtained from all participants.
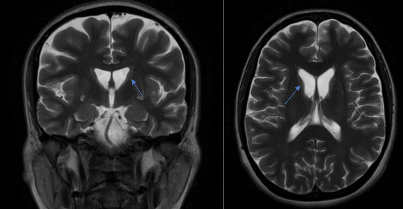
Results: A 34-year-old female, with healthy non-consanguineous parents, presented an obsessive-compulsive disorder for 5 years, 2 years later she presented spasmophemia, vocalizations and frequent lip biting with self-mutilation. Neurological examination revealed dysarthria, orolingual dyskinesia, mild generalized chorea and unsteady gait. Cognitive evaluation reported diminished attentional and executive functions. Laboratory showed presence of acanthocytes in peripheral blood film and CK levels >1000 U/L. EMG and echocardiogram were normal. MRI showed bilateral caudate atrophy (figure 1). HTT testing and copper levels were normal. NGS panel reported two heterozygous variants in VPS13A a deletion (Exons 51-59) classified as likely pathogenic, and c.5157C>T; p.Gly1719 = classified previously as variant of uncertain significance (VUS), but recently reclassified as likely pathogenic (4). Parents testing demonstrated that variants were in trans and the two unaffected siblings carried no variants.
Conclusion: We report the sixth Chilean ChAc patient. This case enhances the pathogenic role of c.5157>T (silent) variant, previously classified as VUS but recently reported to affect RNA splicing, resulting in a frameshift and premature termination codon in a Singaporean patient (4). Evaluating a common ancestor will expand the understanding of the not completely elucidated VPS13A variants.
Brain MRI show bilateral atrophy caudate nucleus
References: 1. Shah JR, Patkar DP, Kamat RN. A case of McLeod phenotype of neuroacanthocytosis brain MR features and literature review. Neuroradiol J. 2013 Feb;26(1):21-6
2. Miranda M, Campero M, Tenhamm E, Villagra R. Neuroacantocitosis. Comunicación de 3 casos. Rev Med Chile 1993; 121: 176-9.
3. Walker, R. H., Gatto, E. M., Bustamante, M. L., Bernal-Pacheco, O., Cardoso, F., Castilhos, R. M. & Tumas, V. (2018). Huntington’s disease-like disorders in Latin America and the Caribbean. Parkinsonism & related disorders, 53, 10-20.
4. Hoe, Rebecca Hui Min et al. “Novel Biallelic Synonymous Exonic Variant in VPS13A Affecting mRNA Splicing: Case Report.” Neurology Genetics 2024;10:e200207
To cite this abstract in AMA style:
P. Meza Castro, P. Saffie Awad, E. Fernández Toledo. Compound Heterozygous VPS13A Variants in a Chilean Chorea-Acanthocytosis Patient [abstract]. Mov Disord. 2025; 40 (suppl 1). https://www.mdsabstracts.org/abstract/compound-heterozygous-vps13a-variants-in-a-chilean-chorea-acanthocytosis-patient/. Accessed November 7, 2025.« Back to 2025 International Congress
MDS Abstracts - https://www.mdsabstracts.org/abstract/compound-heterozygous-vps13a-variants-in-a-chilean-chorea-acanthocytosis-patient/

