Objective: Describes a case of lower limb tremor attributed to toxoplasmosis affecting the substantia nigra
Background: Cerebral toxoplasmosis can result in diverse clinical presentations due to strategically located lesions. While movement disorders are uncommon manifestations, they have been documented in case reports and series, encompassing both hypokinetic and hyperkinetic forms [1, 2]. Given that cerebral toxoplasmosis is a treatable condition, recognizing movement disorders as a potential clinical feature is crucial
Method: Describe a case report using the CARE guidelines.
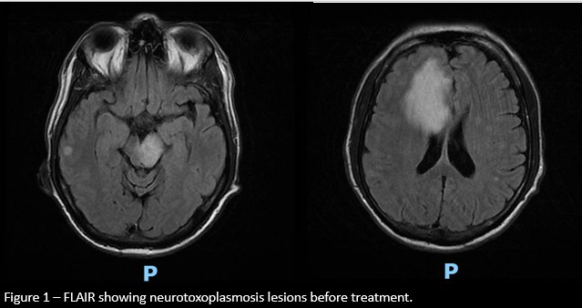
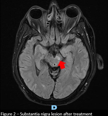
Results: A 58-year-old male patient was admitted for evaluation of one month of anterograde amnesia, accompanied by behavioral changes and hypersexuality. Serological testing revealed HIV positivity, with a viral load of 564,000 copies/mL and a CD4 lymphocyte count of 21 cells/µL. The patient also presented with dysphagia and hiccups, and was diagnosed with esophageal candidiasis. A cranial MRI demonstrated multiple bilateral expansive cortical, nucleocapsular, and brainstem lesions, consistent with neurotoxoplasmosis. Several months later, the patient developed stereotyped, involuntary movements in the right lower limb, present at rest, responsive to sensory tricks, and variable with position, suggesting a dystonic component. A subsequent MRI revealed areas of hemosiderin deposits affecting the left substantia nigra, correlating with the dystonia. A therapeutic trial with levodopa and biperiden resulted in a favorable clinical response.
Conclusion: Neuroinfectious disorders are highly prevalent in limited resource settings, like in our country, leading to morbidy and mortality. Prompt recognizing the clinical manifestation of these disorders is necessary for improving care of this patients, where levodopa and biperiden were prescribed with excellent clinical response.
Figure 1
Figure 2
References: 1 – Nath, A., Hobson, D.E. and Russel, A. (1993), Movement disorders with cerebral toxoplasmosis and AIDS. Mov. Disord., 8: 107-112. https://doi.org/10.1002/mds.870080119
2 – Donlon E, Theze S, Fearon C. Alternate Hemibody Hyperkinetic and Hypokinetic Movement Disorders Due to Strategic Lesions in Cerebral Toxoplasmosis. JAMA Neurol. 2023 Oct 1;80(10):1113-1114. doi: 10.1001/jamaneurol.2023.2709. PMID: 37578758.
To cite this abstract in AMA style:
AL. Donadon, M. da Silva, E. de Souza, A. de Mendonça, A. Fernandes, M. Munareto, C. Campos, A. Baeta, . . Dystonic lower limb tremor secondary to involvement of the substantia nigra in a patient with Neurotoxoplasmosis and HIV [abstract]. Mov Disord. 2025; 40 (suppl 1). https://www.mdsabstracts.org/abstract/dystonic-lower-limb-tremor-secondary-to-involvement-of-the-substantia-nigra-in-a-patient-with-neurotoxoplasmosis-and-hiv/. Accessed November 16, 2025.« Back to 2025 International Congress
MDS Abstracts - https://www.mdsabstracts.org/abstract/dystonic-lower-limb-tremor-secondary-to-involvement-of-the-substantia-nigra-in-a-patient-with-neurotoxoplasmosis-and-hiv/


