Category: Autoimmune Movement Disorders
Objective: To describe a rare case of progressive cerebellar ataxia due to neurodegenerative Langerhans Cell Histiocytosis (ND-LCH) and highlight diagnostic challenges with atypical imaging findings.
Background: Late-onset cerebellar ataxia is diagnostically challenging, particularly without a clear familial history. Langerhans Cell Histiocytosis (LCH) is a rare myeloid neoplasm affecting the central nervous system (CNS) in 5–10% of cases1. ND-LCH, seen in only 1–3% of LCH patients, presents with progressive cerebellar dysfunction and cognitive decline2. Typical MRI findings in ND-LCH include bilateral, symmetric cerebellar lesions, cerebral atrophy or pontine involvement3. However, ND-LCH rarely presents without these characteristic imaging abnormalities4. Given its rarity and heterogeneity, ND-LCH requires thorough evaluation for neoplastic causes. While early diagnosis is crucial, there is no established consensus on ND-LCH treatment, and available treatments often yield only modest results3.
Method: A case report
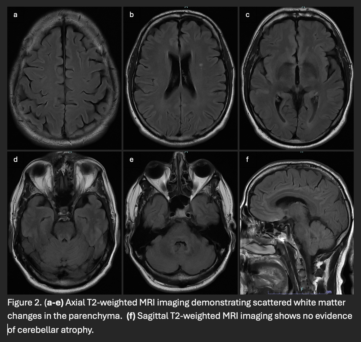
Results: A 60-year-old man presented with a year-long history of progressive ataxia, dysarthria, dysphagia, and fatigue. Three years prior, he developed diabetes insipidus due to a pituitary lesion [Figure 1], initially thought to be lymphocytic hypophysitis. Extensive ataxia workup, including autoimmune, paraneoplastic, genetic testing, FDG-PET, and DaT scan, was unremarkable. Three months later, jaw pain led to a biopsy-confirmed LCH diagnosis, retrospectively linking it to his pituitary lesion. Despite progressive cerebellar symptoms, brain MRI showed only nonspecific white matter hyperintensities, lacking characteristic ND-LCH findings [Figure 2]. He was treated with vemurafenib (480 mg BID), though dose reductions were required due to side effects. After 13 months, ataxia stabilized, but dysphagia and dysarthria worsened. A trial of high-dose methylprednisolone (1,000 mg daily for three days) provided no benefit.
Conclusion: This case underscores ND-LCH as a rare cause of progressive ataxia, even without characteristic MRI findings, emphasizing the need to investigate tumor-related etiologies in unexplained ataxia. While vemurafenib stabilized ataxia, treatment outcomes in ND-LCH remain inconsistent. Further research is needed to identify predictors of response and alternative therapies in radiologically negative ND-LCH.
Figure 1
Figure 2
References: [1] Héritier S, Barkaoui M-A, Miron J et al. Incidence and risk factors for clinical neurodegenerative Langerhans cell histiocytosis: a longitudinal cohort study. Br J Haematol. 2018;183(4):608–617.
[2] D’Ambrosio N, Soohoo S, Warshall C, Johnson A, Karimi S. Craniofacial and intracranial manifestations of Langerhans cell histiocytosis: report of findings in 100 patients. AJR Am J Roentgenol. 2008 Aug;191(2):589-97. doi: 10.2214/AJR.07.3573. PMID: 18647937.
[3] Cohen Aubart F, Idbaih A, Emile JF, Amoura Z, Abdel-Wahab O, Durham BH, Haroche J, Diamond EL. Histiocytosis and the nervous system: from diagnosis to targeted therapies. Neuro Oncol. 2021 Sep 1;23(9):1433-1446. doi: 10.1093/neuonc/noab107. PMID: 33993305; PMCID: PMC8408883.
[4] Yeh EA, Greenberg J, Abla O, Longoni G, Diamond E, Hermiston M, Tran B, Rodriguez-Galindo C, Allen CE, McClain KL; North American Consortium for Histiocytosis. Evaluation and treatment of Langerhans cell histiocytosis patients with central nervous system abnormalities: Current views and new vistas. Pediatr Blood Cancer. 2018 Jan;65(1). doi: 10.1002/pbc.26784. Epub 2017 Sep 25. PMID: 28944988.
To cite this abstract in AMA style:
C. Onuigbo, S. Pradeep. Neurodegenerative Langerhans Cell Histiocytosis: A Rare Cause of Cerebellar Ataxia [abstract]. Mov Disord. 2025; 40 (suppl 1). https://www.mdsabstracts.org/abstract/neurodegenerative-langerhans-cell-histiocytosis-a-rare-cause-of-cerebellar-ataxia/. Accessed January 17, 2026.« Back to 2025 International Congress
MDS Abstracts - https://www.mdsabstracts.org/abstract/neurodegenerative-langerhans-cell-histiocytosis-a-rare-cause-of-cerebellar-ataxia/


