Category: Non-Dystonia (Other)
Objective: This case report aims to describe a rare presentation of Olivopontocerebellar atrophy in HIV related disease.
Background: Olivopontocerebellar atrophy (OPCA) is the term describe the degeneration of neuron lead to demyelination and fibrillary gliosis of the cerebellar white matter, and formation of olivocerebellar, external arcuate, and pontocerebellar fibers. OPCA may be the pathological hallmark of neurodegenerative diseases, including hereditary and sporadic ataxias, multiple system atrophy ( MSA) , prion disorders, and hereditary metabolic diseases but none of report in HIV related disease.
Method: case Presentation : A 29-year-old vertical transmitted HIV infected female who was in viral suppressed status was consulted due to behavior change for a year. She developed pathologic crying in every time speaking without feeling of depression , sadness or suicidal idea. Physical examination showed mild symmetrical parkinsonism , scanning speech , mild cerebellar ataxia , hyporeflexia and non emotional crying.
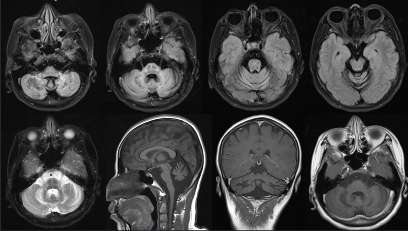
Results: Brain MRI revealed significant pontine and diffuse bilateral cerebellar atrophy associated with cruciform hyperintensity T2FLAIR in an atrophic area compatible with Olivopontocerebellar atrophy ( OPCA) and hot cross bun (HCB) sign. Blood test for autoimmune and paraneoplastic antibodies all were negative . Cerebrospinal fluid ( CSF) examination was normal but was limited for sending CSF HIV viral load and JC virus. Genetic testing was absent of repeated expansion for SCA 1,2,3 and SCA 17. According to history of one year non viral suppressed HIV disease prior to her clinical presentation, the diagnosis was HIV encephalopathy with olivopontocerebellar atrophy. This brainstem pathology interfere central to peripheral autonomic network of crying and explain of distress vocalization of non emotional pathological crying of her.
Conclusion: From my knowledge, this is the first case of HIV infected disease who presented with non emotional pathologic crying which is atypical presentation of Olivopontocerebellar atrophy. OPCA affect to cerebro-ponto-cerebellar to peripheral pathway of pathological non emotional crying.
Neurobiology of crying
MRI brain of this patient with OPCA and HCB sign
OPCA classification
OPCA and HCB sign differential diagnosis
References: Sandeep P, Ajith C, Thomas L, Mini M, Sony S et al. Hot cross bun sign in HIV‐related progressive multifocal leukoencephalopathy. Ann Indian Acad Neurol 2013;16:672‐3
J Parvizi, SW Anderson, C O Martin, H Damasio, AR Damasio et al. Pathological laughter and crying A link to the cerebellum. Brain 2001;124:1708-19
LM. Bylsma, A Gračanin, AJJM Vingerhoets. The neurobiology of human crying. Clinical Autonomic Research 2019; 29:63–73
J Berciano, S Boesch, J M Pe ́rez-Ramos and G K. Wennin. Olivopontocerebellar Atrophy: Toward a Better Nosological Definition. Movement Disorders 2006 ;21:1607-13
Mario Mascalchi. MRI CNS Atrophy Pattern and the Etiologies of Progressive Ataxias. Tomography 2022, 8, 423–437.
G K. Wenning et al. The Movement Disorder Society Criteria for the Diagnosis of Multiple System Atrophy. Movement Disorders 2022;37: 1131-48
To cite this abstract in AMA style:
W. Rattanachaisit. Olivopontocerebellar atrophy and Hot Cross Bun sign in vertical transmitted HIV disease with non emotional pathological crying ; Case report and review literature [abstract]. Mov Disord. 2025; 40 (suppl 1). https://www.mdsabstracts.org/abstract/olivopontocerebellar-atrophy-and-hot-cross-bun-sign-in-vertical-transmitted-hiv-disease-with-non-emotional-pathological-crying-case-report-and-review-literature/. Accessed November 16, 2025.« Back to 2025 International Congress
MDS Abstracts - https://www.mdsabstracts.org/abstract/olivopontocerebellar-atrophy-and-hot-cross-bun-sign-in-vertical-transmitted-hiv-disease-with-non-emotional-pathological-crying-case-report-and-review-literature/




