Objective: (1) To emphasize the critical role of genetic evaluation in adult-onset movement disorders (2) to demonstrate that POLG2-related disorders should be considered in the differential diagnosis of multiple system atrophy (MSA).
Background: Adult-onset neurologic disorders are increasingly found to have genetic etiologies, yet age-related biases may limit access to timely genetic testing. Variants of uncertain significance (VUS) also pose challenges to accurate diagnosis.
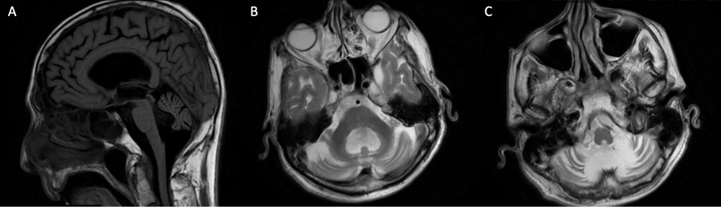
Method: A 78-year-old man, previously diagnosed with suspected MSA cerebellar type (MSA-C), presented for a second opinion after seven years of recurrent falls, progressive gait instability, impaired dexterity, orthostasis, and dysphagia. Examination revealed moderate parkinsonism, midline cerebellar features, and length-dependent sensory neuropathy. Workup revealed sensorimotor neuropathy in all extremities on EMG, a normal DaT scan, and marked cerebellar atrophy on brain MRI [Figure 1]. There was no family history of movement disorders, though his mother had frequent falls. He denied current alcohol use but previously consumed two beers per night for thirty years. A trial of carbidopa levodopa (25/100 mg up to 2 tablets TID) was ineffective. Genetic testing identified an autosomal dominant heterozygous POLG2 variant (c.404del) initially classified as a VUS. Following internal review and recommendation, the laboratory reclassified the variant as likely pathogenic, prompting amendments to past and future reports.
Results: Variant reclassification proved pivotal in establishing a definitive molecular diagnosis, providing access to specialized care in a mitochondrial medicine multidisciplinary clinic, psychological closure, and accurate familial risk assessment.
Conclusion: This case expands the phenotypic spectrum of POLG2-related disorders to include MSA-C, aligning with prior reports of similar associations in POLG1. Given that mitochondrial disorders can mimic neurodegenerative disease, it is important to consider genetic evaluation in adult-onset movement disorders, regardless of patient age. Delayed testing prolonged diagnostic uncertainty for years and hindered prognostication. Neurology clinics should integrate genetic counselors with specialized skills in variant interpretation to enhance diagnostic accuracy and patient outcomes.
Figure 1
References: Borsche, M., Dulovic-Mahlow, M., Baumann, H., Tunc, S., Lüth, T., Schaake, S., Özcakir, S., Westenberger, A., Münchau, A., Knappe, E., Trinh, J., Brüggemann, N., & Lohmann, K. (2024). POLG2-linked mitochondrial disease: Functional insights from new mutation carriers and review of the literature. Cerebellum (London, England), 23(2), 479–488. https://doi.org/10.1007/s12311-023-01557-x
Dratch, L., Azage, M., Baldwin, A., Johnson, K., Paul, R. A., Bardakjian, T. M., Michon, S. C., Amado, D. A., Baer, M., Deik, A. F., Elman, L. B., Gonzalez-Alegre, P., Guo, M. H., Hamedani, A. G., Irwin, D. J., Lasker, A., Orthmann-Murphy, J., Quinn, C., Tropea, T. F., Scherer, S. S., … Ellis, C. A. (2024). Genetic testing in adults with neurologic disorders: Indications, approach, and clinical impacts. Journal of Neurology, 271(2), 733–747. https://doi.org/10.1007/s00415-023-12058-6
Mehta, A. R., Fox, S. H., Tarnopolsky, M., & Yoon, G. (2011). Mitochondrial mimicry of multiple system atrophy of the cerebellar subtype. Movement disorders : official journal of the Movement Disorder Society, 26(4), 753–755. https://doi.org/10.1002/mds.23510
Synofzik, M. (2019). Parkinsonism in neurodegenerative diseases predominantly presenting with ataxia. International Review of Neurobiology, 149, 277–298. https://doi.org/10.1016/bs.irn.2019.10.019
To cite this abstract in AMA style:
M. Rochman, A. Dessy. POLG2 Variant Reclassification Reveals Diagnosis in Adult with MSA-C Phenotype [abstract]. Mov Disord. 2025; 40 (suppl 1). https://www.mdsabstracts.org/abstract/polg2-variant-reclassification-reveals-diagnosis-in-adult-with-msa-c-phenotype/. Accessed November 11, 2025.« Back to 2025 International Congress
MDS Abstracts - https://www.mdsabstracts.org/abstract/polg2-variant-reclassification-reveals-diagnosis-in-adult-with-msa-c-phenotype/

