Category: Pediatric Movement Disorders
Objective: To describe a pediatric case of chronic non-progressive ataxia, nystagmus, kinetic tremor, refractory epilepsy, and arterial ischemic stroke (AIS) associated with a CACNA1A c.2137C>A variant and possible pathophysiology
Background: P/Q-type voltage-gated calcium channels (VGCCs), primarily in presynaptic nerve terminals regulate neurotransmitter release. The CACNA1A gene encodes the α1 subunit (CaV2.1), and pathogenic variants are linked to familial hemiplegic migraine type 1 (FHM1), episodic ataxia type 2 (EA2), spinocerebellar ataxia type 6 (SCA6). Other symptoms include dystonia, epilepsy, and autism spectrum disorder. Acetazolamide may improve symptoms in FHM1 and EA2. AIS has been described in less than ten pediatric cases in the literature.
Method: Case report
Results: A previously healthy 3-year-old girl developed status epilepticus after a febrile illness in the context of a left MCA and PCA AIS, leading to permanent visual deficits and refractory epilepsy. Despite multiple treatments seizures persisted. At age 6, whole exome sequencing identified a pathogenic CACNA1A variant. She exhibited right-sided hemiparesis, non-progressive ataxia, nystagmus, cognitive impairment, autistic traits, and behavioral disturbances. Acetazolamide improved her ataxia enabling ambulation.
Gain-of-function genetic variants in CACNA1A affect P/Q-type VGCCs, increase neuronal Ca²⁺ influx, glutamate neurotransmission, and hyperexcitability. In murine FHM1 models, similar variants impaired cerebral blood flow recovery, increased tissue anoxia, and elevated cerebral metabolic rate of oxygen (CMRO₂) during cortical spreading depression (CSD), suggesting a stroke risk mechanism. P/Q-type VGCCs influence vascular tone and neurovascular coupling, possibly contributing to stroke in CACNA1A disorders. Medications like amlodipine, which block P/Q-type VGCCs, may be considered for stroke prevention in these patients and has been reported in previous pediatric case reports as beneficial. Acetazolamide has been useful in patients with FHM1 and EA2. In this case, it was proven to be of benefit for management of patient’s non-progressive ataxia.
Conclusion: CACNA1A variants may elevate stroke risk via impaired neurovascular coupling and disrupted calcium signaling. VGCC blockers like amlodipine may offer prophylactic benefits. Acetazolamide, known to help FHM1 and EA2, was effective in managing this patient’s non-progressive ataxia.
Figure 1. Structure of α1 subunit P/Q-type VGCC.
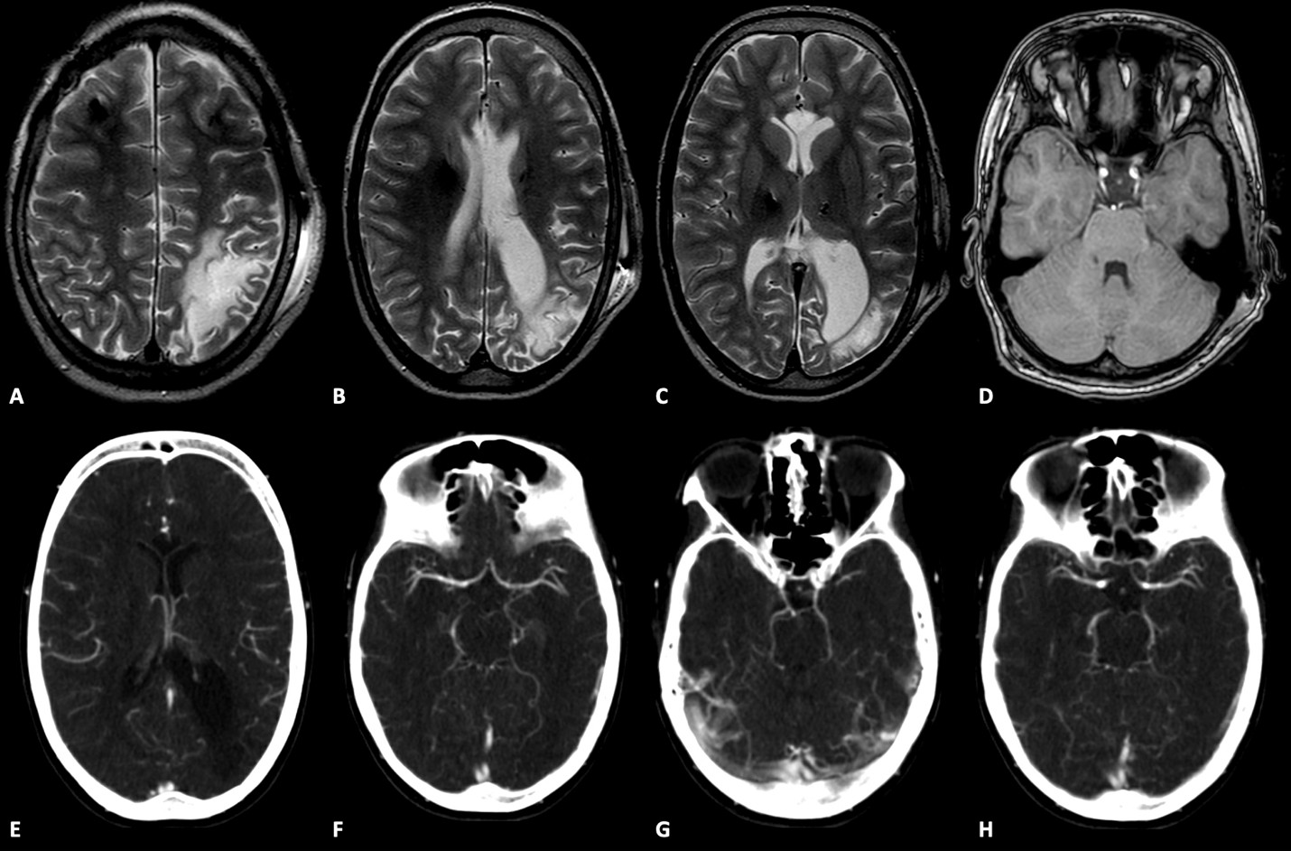
Figure 2. MRI encephalomalacia right MCA-PCA.
References: 1. Zamponi GW, Striessnig J, Koschak A, Dolphin AC. The Physiology, Pathology, and Pharmacology of Voltage-Gated Calcium Channels and Their Future Therapeutic Potential. Pharmacol Rev [Internet]. 2015 Oct 1 [cited 2025 Mar 13];67(4):821–70. Available from: https://pharmrev.aspetjournals.org/action/showFullText?pii=S003169972401158X
2. Catterall WA. Structure and regulation of voltage-gated Ca2+ channels. Annu Rev Cell Dev Biol [Internet]. 2000 [cited 2025 Mar 13];16:521–55. Available from: https://pubmed.ncbi.nlm.nih.gov/11031246/
3. Hansen PBL. New Role of P/Q-type Voltage-gated Calcium Channels: From Transmitter Release to Contraction of Renal Vasculature. J Cardiovasc Pharmacol [Internet]. 2015 May 1 [cited 2025 Mar 13];65(5):406–11. Available from: https://pubmed.ncbi.nlm.nih.gov/25469806/
4. Chichorro JG, Gambeta E, Baggio DF, Zamponi GW. Voltage-gated Calcium Channels as Potential Therapeutic Targets in Migraine. J Pain [Internet]. 2024 Aug 1 [cited 2025 Mar 13];25(8). Available from: https://pubmed.ncbi.nlm.nih.gov/38522594/
5. Rajakulendran S, Kaski D, Hanna MG. Neuronal P/Q-type calcium channel dysfunction in inherited disorders of the CNS. Nat Rev Neurol [Internet]. 2012 Feb [cited 2025 Feb 26];8(2):86–96. Available from: https://pubmed.ncbi.nlm.nih.gov/22249839/
6. Du X, Wei C, Hejazi Pastor DP, Rao ER, Li Y, Grasselli G, et al. α1ACT Is Essential for Survival and Early Cerebellar Programming in a Critical Neonatal Window. Neuron. 2019 May 22;102(4):770-785.e7.
7. Bolte KN, Assaf M, Zach T, Peche S. Two Children with Early-Onset Strokes and Intractable Epilepsy, Both with CACNA1A Mutations. Child Neurol Open [Internet]. 2022 Jan [cited 2025 Feb 27];9:2329048X2210949. Available from: https://pubmed.ncbi.nlm.nih.gov/35497372/
8. Indelicato E, Boesch S. From Genotype to Phenotype: Expanding the Clinical Spectrum of CACNA1A Variants in the Era of Next Generation Sequencing. Front Neurol [Internet]. 2021 Mar 2 [cited 2025 Feb 26];12. Available from: https://pubmed.ncbi.nlm.nih.gov/33737904/
9. Sutherland HG, Albury CL, Griffiths LR. Advances in genetics of migraine. J Headache Pain [Internet]. 2019 Jun 21 [cited 2025 Mar 13];20(1). Available from: https://pubmed.ncbi.nlm.nih.gov/31226929/
10. Khennouf L, Gesslein B, Lind BL, van den Maagdenberg AMJM, Lauritzen M. Activity-dependent calcium, oxygen, and vascular responses in a mouse model of familial hemiplegic migraine type 1. Ann Neurol [Internet]. 2016 Aug 1 [cited 2025 Mar 13];80(2):219–32. Available from: https://pubmed.ncbi.nlm.nih.gov/27314908/
11. Eller MT, Frank F, Kaltseis K, Karisik A, Knoflach M, Broessner G. Novel Calcitonin Gene-Related Peptide (CGRP) Interfering Migraine Therapies and Stroke-A Review. Int J Mol Sci [Internet]. 2024 Nov 1 [cited 2025 Mar 13];25(21). Available from: https://pubmed.ncbi.nlm.nih.gov/39519240/
To cite this abstract in AMA style:
A. Vargas Nino, H. Alfaris, C. Gorodetsky. Stroke, Chronic Ataxia and Tremor in a Pediatric Patient with c.2137C>A Genetic Variant in CACNA1A [abstract]. Mov Disord. 2025; 40 (suppl 1). https://www.mdsabstracts.org/abstract/stroke-chronic-ataxia-and-tremor-in-a-pediatric-patient-with-c-2137ca-genetic-variant-in-cacna1a/. Accessed December 7, 2025.« Back to 2025 International Congress
MDS Abstracts - https://www.mdsabstracts.org/abstract/stroke-chronic-ataxia-and-tremor-in-a-pediatric-patient-with-c-2137ca-genetic-variant-in-cacna1a/


