Category: Dystonia (Other)
Objective: Alien hand Syndrome (AHS) is a rare neurological disorder characterized by involuntary, seemingly purposeful movements of a limb, coupled with a sense of disownership. Clinical manifestation and neuroimaging studies suggest a distinction between frontal and posterior variants of AHS.
Background: The frontal variant is associated with dysfunction in the supplementary motor area (SMA), pre-SMA, and their interconnected networks, while the posterior variant implicates the inferior parietal lobule and its connections.
Method: Patient is a 26-year-old woman with a history of pediatric ITP in remission stage, recent contraceptive pill use, presented with acute onset left hemiparesis for 1 day. She woke up and found the left side weakness to the point that she was not able to get up from the bed and walk to the restroom, resulting in urinary incontinence, which was accompanied by persistent dizziness, vertigo, and slurring speech. In addition, the patient had writhing movement in the left upper extremity that the patient described as “the hand is moving on its own” since she woke up.
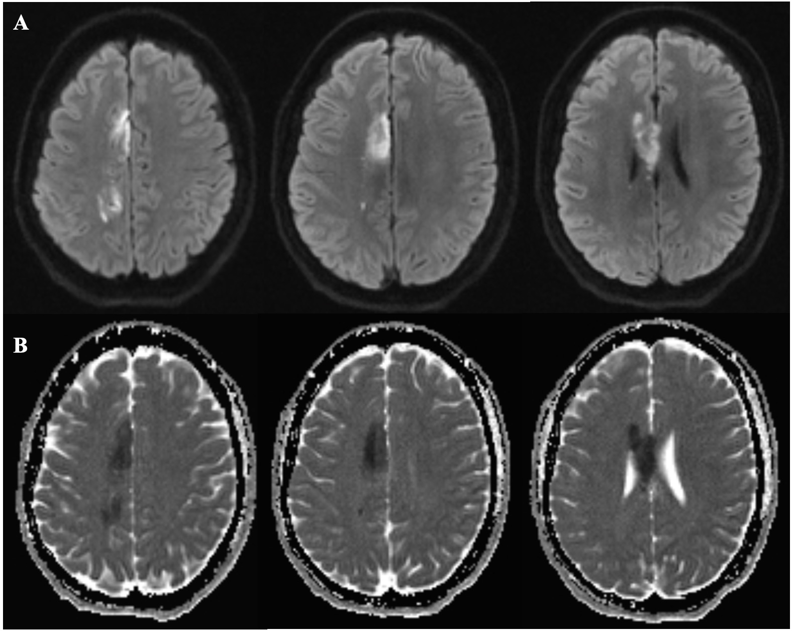
Results: Brain MRI showed acute ischemic infarct in the distal right anterior cerebral artery (ACA) territory involving the right cingulate gyrus, corpus callosum and scattered paramedian frontoparietal infarct (Figure 1). MRA head and neck with contrast were unremarkable. Angiogram showed a subocclusive thrombus at the origin of the right callosomarginal artery, which corresponds to the area of infarct noted on MRI and likely represented in situ thrombosis as opposed to proximal embolic source. Patent foramen ovale (PFO) was confirmed on transthoracic echocardiogram (TTE) and negative duplex ultrasound for deep venous thrombosis. The hypercoagulable work up was pending and the patient was on the dual antiplatelet therapy. She gradually gained normal control of her left hand over the next 48 hours even though there was still the residual left side weakness.
Conclusion: While Alien hand syndrome is more commonly associated with neurodegenerative disorders, this case of stroke-induced frontal variant alien hand syndrome serves to increase awareness of this clinically challenging and the potential for diagnosis as a functional disorder, especially in younger patients. It underscores the significance of a comprehensive medical history and medication review in identifying potential stroke risk factors.
Figure 1: Brain MRI
To cite this abstract in AMA style:
A. Sim, Z. Luan, I. Fernande, S. Cruz-Flores, P. Piriyawat. The Alien Hand Syndrome in a Young Woman with Ischemic Stroke [abstract]. Mov Disord. 2025; 40 (suppl 1). https://www.mdsabstracts.org/abstract/the-alien-hand-syndrome-in-a-young-woman-with-ischemic-stroke/. Accessed January 19, 2026.« Back to 2025 International Congress
MDS Abstracts - https://www.mdsabstracts.org/abstract/the-alien-hand-syndrome-in-a-young-woman-with-ischemic-stroke/

