Category: Choreas (Non-Huntington's Disease)
Objective: 1. To present a case of hemichorea-hemiballismus syndrome secondary to non-ketotic hyperglycemia, highlighting its clinical presentation, diagnostic findings, and management approach. This report aims to raise awareness among clinicians regarding this rare yet important neurological complication of hyperglycemia, emphasizing the need for early recognition and appropriate intervention.
Background: Diabetic striatopathy, also known as hemichorea-hemiballismus (HCHB) syndrome, is a rare complication of uncontrolled diabetes that leads to sudden-onset neurological symptoms such as hemichorea, hemiballismus, and parkinsonism. It primarily affects elderly diabetic patients, especially women of Asian descent, and is often triggered by hyperglycemia, fluctuating blood glucose, or vascular changes in the brain.
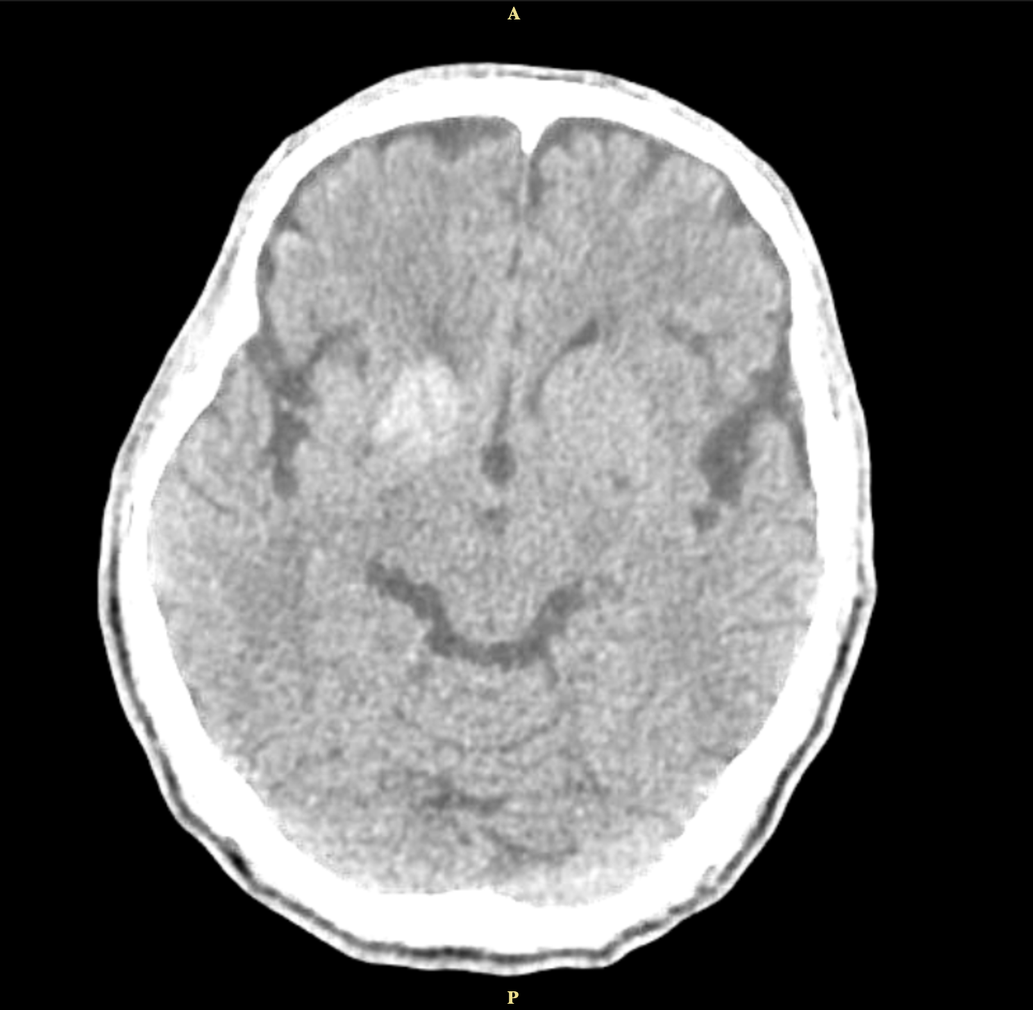
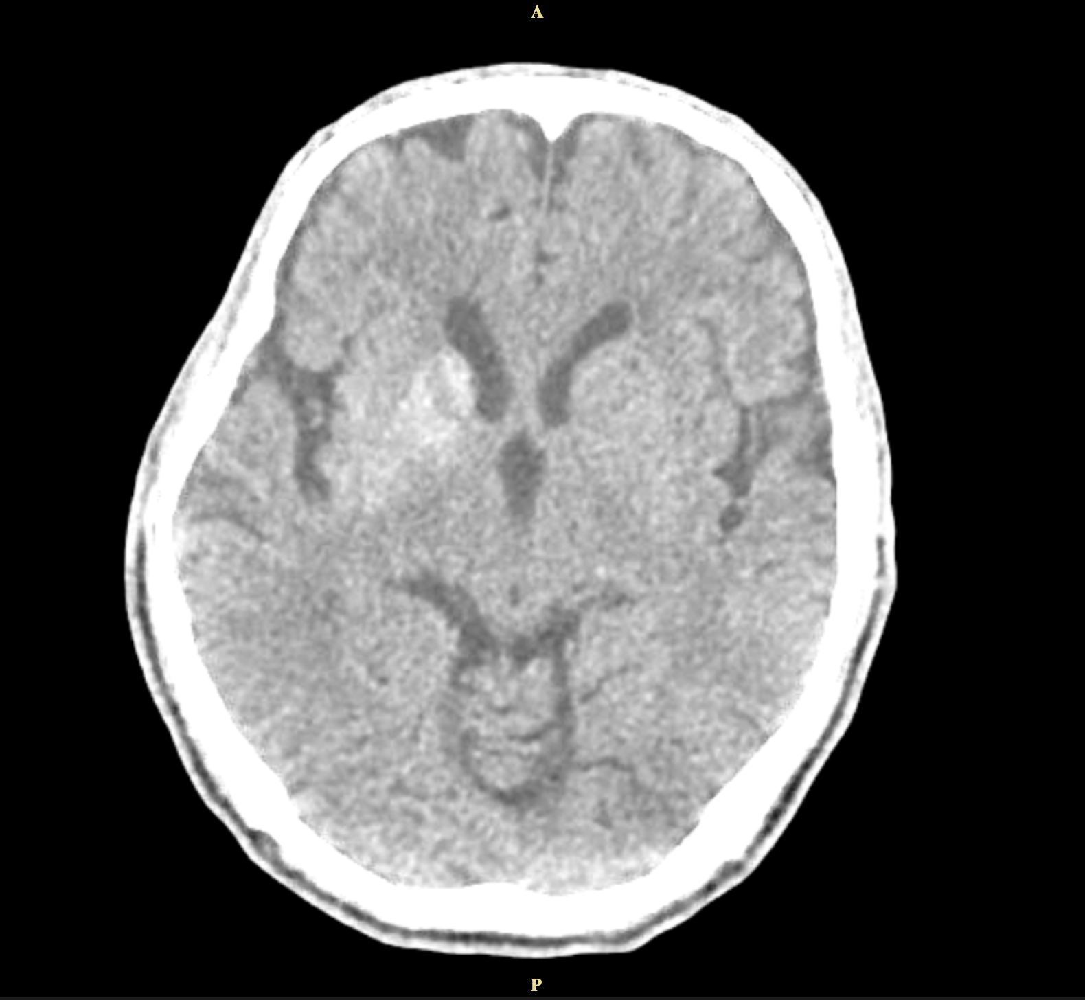
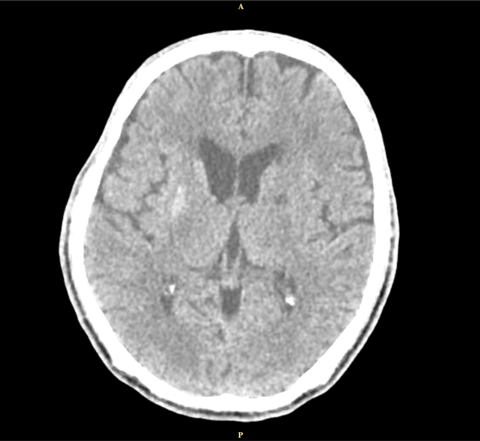
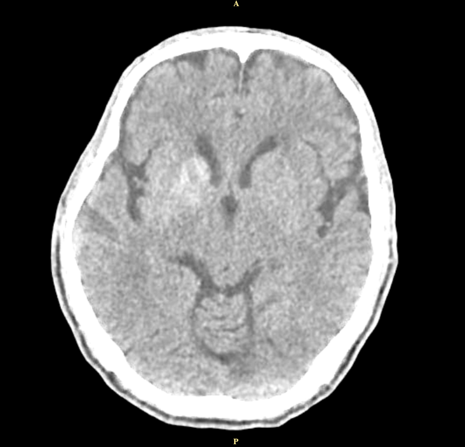
Method: A 62-year-old man with uncontrolled diabetes presented with left-sided involuntary movements and slurred speech. His blood glucose was elevated at 576mg/dl, and CT imaging showed hyperdensity in the right caudate and lentiform nuclei. His condition improved with glycemic control, and antichoreic medications were not needed.
Results: This condition occurs in about 1 in 100,000 individuals. Diagnosis relies on neuroimaging, particularly CT or MRI, which reveal basal ganglia lesions, often in the putamen or caudate nucleus. The hallmark finding is striatal hyperintensity without mass effect, sparing the internal capsule. CT has a sensitivity of 78%, and MRI 95% for detecting diabetic striatopathy, with resolution times ranging from 10 to 60 days.
Conclusion: The classic triad for diabetic striatopathy includes poor glycemic control, unilateral striatal hyperdensity on CT imaging, and contralateral choreic movements. Treatment involves achieving euglycemia and managing chorea. Symptom resolution can occur within 2–14 days, with glycemic control alone resolving symptoms in 25% of cases. Adding anti-choreic medications increases resolution to 76%. He continued intensive insulin therapy for 6 months, leading to improvement and eventual resolution of left-sided movement.
Figure 1.1
Figure 1.2
Figure 1.3
Figure 1.4
References: https://edm.bioscientifica.com/view/journals/edm/2024/2/EDM23-0082.xml
https://www.sciencedirect.com/science/article/abs/pii/S0735675717301067
https://lupinepublishers.com/neurology-brain-disorders-journal/
To cite this abstract in AMA style:
A. Kano. The Diabetic Dance: Hemichorea-Hemiballismus Syndrome On The Hyperglycemic Stage; A Case Report [abstract]. Mov Disord. 2025; 40 (suppl 1). https://www.mdsabstracts.org/abstract/the-diabetic-dance-hemichorea-hemiballismus-syndrome-on-the-hyperglycemic-stage-a-case-report/. Accessed November 7, 2025.« Back to 2025 International Congress
MDS Abstracts - https://www.mdsabstracts.org/abstract/the-diabetic-dance-hemichorea-hemiballismus-syndrome-on-the-hyperglycemic-stage-a-case-report/




