Category: Rare Neurometabolic Diseases
Objective: To report a case of a young female patient with Wilson’s disease, hereditary hemorrhagic telangiectasia (HHT), and pituitary microadenoma, and to enhance the understanding of the diagnosis and treatment of patients with multiple rare diseases through analysis of this case and related literature.
Background: Wilson’s disease is an autosomal recessive copper metabolism disorder affecting the liver and neurological system. HHT is an autosomal dominant vascular dysplasia with telangiectasia and arteriovenous malformations. Pituitary microadenoma is a benign tumor. This case explores their coexistence.
Method: A 34-year-old woman was admitted for recurrent epistaxis and hemoptysis. She had Wilson’s disease history and presented with chronic cough, hemoptysis, syncope, joint pain, and neurological symptoms. Physical examination revealed K-F rings and limb tremors. Laboratory tests showed hypoproteinemia, copper and iron metabolism disorders, and elevated prolactin. Imaging included CTPA, pulmonary perfusion imaging, and MRI. Genetic testing identified ATP7B, ENG, and EPHB gene mutations.
Results: The patient was diagnosed with Wilson’s disease, HHT, and pituitary microadenoma. She underwent right heart catheterization and pulmonary arteriovenous fistula embolization. Postoperatively, she continued medical therapy but had recurrent epistaxis and hemoptysis.
Conclusion: This case highlights the diagnostic and therapeutic challenges of multiple rare diseases in one patient. The conditions couldn’t be explained by a single disease theory. Multidisciplinary collaboration and comprehensive genetic testing are crucial for accurate diagnosis and treatment. Further research is needed to explore the relationships between these diseases and optimize treatment strategies.
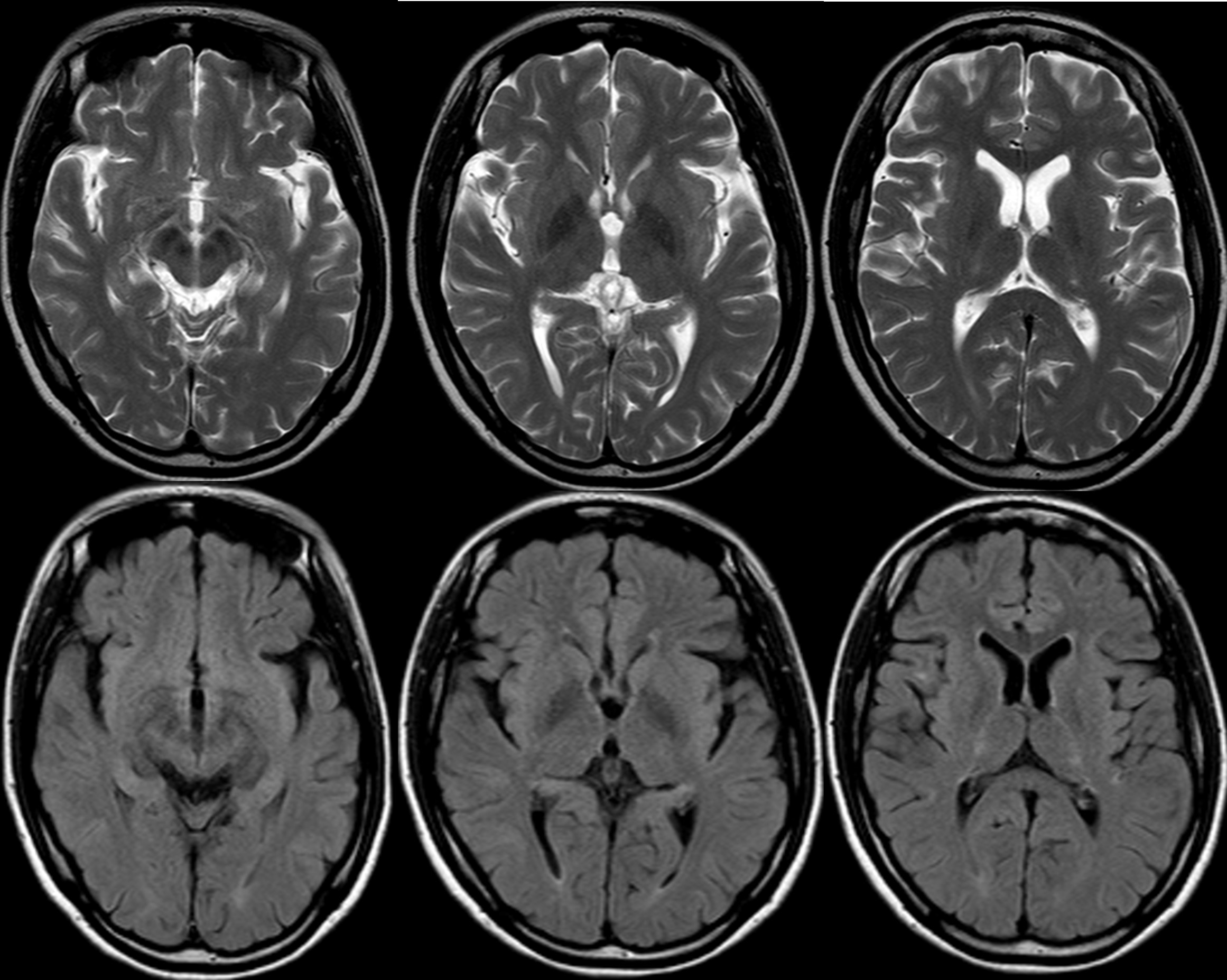
Bilateral symmetric thalamic signals in MRI
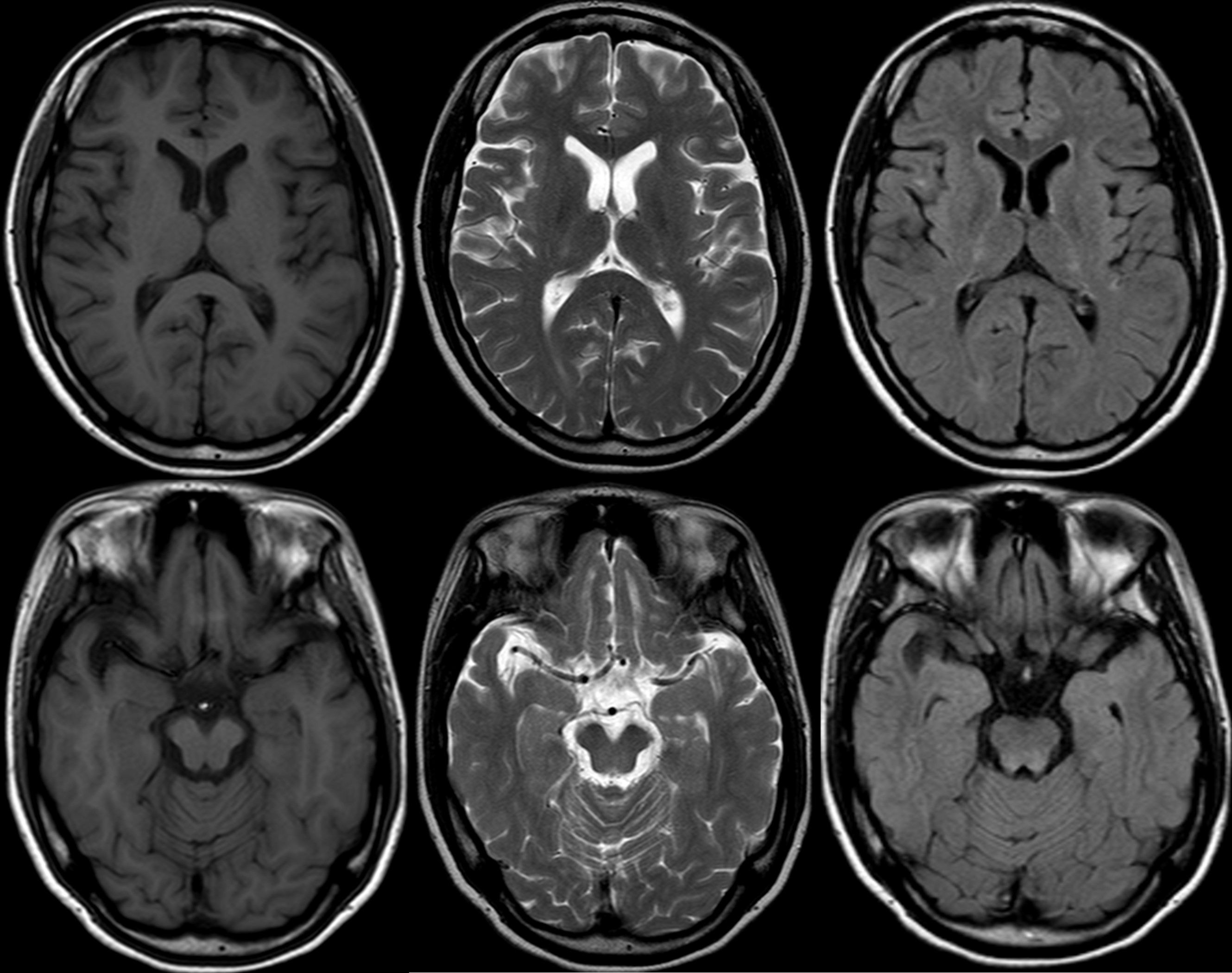
symmetric dorsal pontine signals in MRI
Rose-red telangiectatic plaque on thigh skin
Kayser-Fleischer rings are present
To cite this abstract in AMA style:
D. Dai, L. Li, X. Xu. Wilson’s Disease with Hereditary Hemorrhagic Telangiectasia and Pituitary Microadenoma: A Case Report [abstract]. Mov Disord. 2025; 40 (suppl 1). https://www.mdsabstracts.org/abstract/wilsons-disease-with-hereditary-hemorrhagic-telangiectasia-and-pituitary-microadenoma-a-case-report/. Accessed December 11, 2025.« Back to 2025 International Congress
MDS Abstracts - https://www.mdsabstracts.org/abstract/wilsons-disease-with-hereditary-hemorrhagic-telangiectasia-and-pituitary-microadenoma-a-case-report/




