Category: Tremor
Objective: We present a case of decreased disability following acute ischemic stroke and review lesional treatment of essential tremor.
Background: Essential tremor is one of the most common causes of tremor which involves a postural/kinetic tremor of the bilateral upper extremities. This can limit activities of daily living such as eating, drinking, and writing. Medical management is the initial approach to treatment of essential tremor, but if there remains significant symptom burden patients may pursue deep brain stimulation (DBS) or High-Intensity Focused Ultrasound (HIFU) which typically targets the ventral intermediate nucleus (VIM) or subthalamic area.
Acute ischemic stroke is one of the leading causes of disability worldwide.
We present a case of a 65-year-old man with severe essential tremor which limited functional use of both upper extremities. Following acute ischemic stroke involving the right internal capsule and thalamus he experienced dramatic improvement in tremor of his left upper extremity leading to improved functional use of that limb.
Method: In this case report, Archimedean spiral pre- and post-stroke were obtained. Video of the patient’s tremor post-stroke was obtained. Stroke location was confirmed using MRI.
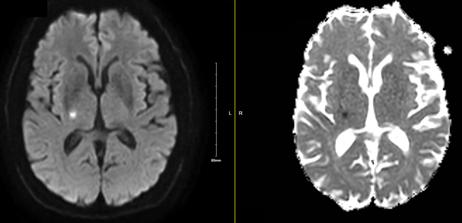
Results: The patient’s pre-stroke symptoms included severe bilateral upper extremity postural/kinetic tremor as illustrated in Figure 1 [figure1]. Post-stroke symptoms included mild left hemiparesis and sensory loss, postural/kinetic tremor in right upper extremity only. MRI shows abnormal restricted diffusion in the right internal capsule and thalamus (Figure 2)[figure2], posterolateral to the expected location of the VIM based on MRI atlases.
Left hemiparesis improved to baseline with physical therapy. Upon follow-up there was a mild return of tremor in the left upper extremity, but functional use of that limb remained improved compared to pre-stroke (Figure 3). [figure3]
Conclusion: This case illustrates a natural experiment in line with historic observations of neurologic symptoms resulting from focal brain lesions. The location of this patient’s acute ischemic stroke provides evidence that lesions of the internal capsule in addition to the VIM have the potential to provide benefit for the treatment of essential tremor, supporting that modulation of the cerebello-thalamo-cortical network may be the common therapeutic target for functional neurosurgical treatment of essential tremor.
Archimedean spiral pre-stroke
MRI DWI and ADC sequences showing ischemic stroke
Archimedean spiral post-stroke
To cite this abstract in AMA style:
A. Welleford, T. Yamasaki, D. Ionel. A Case of Decreased Disability After Stroke: Lesional Modulation of Essential Tremor [abstract]. Mov Disord. 2025; 40 (suppl 1). https://www.mdsabstracts.org/abstract/a-case-of-decreased-disability-after-stroke-lesional-modulation-of-essential-tremor/. Accessed December 11, 2025.« Back to 2025 International Congress
MDS Abstracts - https://www.mdsabstracts.org/abstract/a-case-of-decreased-disability-after-stroke-lesional-modulation-of-essential-tremor/



