Category: Parkinsonism (Other)
Objective: To report the case of a patient with anti Yo-1 antibody syndrome mimicking clinically and radiologically as an atypical parkinsonism.
Background: The anti Yo-1 antibody is one of the most frequent paraneoplastic antibodies with neurological symptoms. Anti Yo-1 is typically associated with breast, pelvic and in least extension to pulmonary tumors; because of this, 96 % of the cases are in female patients [1]. The few cases reported in male patients have been related to gastrointestinal or prostate tumor [2]. The typical Anti Yo-1 syndrome consists of a subacute, rapid progressive ataxia with few changes in brain MRI and with an inflammatory CSF [1].
Method: Medical history and neurological examination were performed in the neurology clinic of the Hospital Calderon Guardia of Costa Rica, with a subsequent 1 year follow-up. Diagnostic approach included complete blood and CSF analysis for inflammatory and infectious diseases, brain MRI and DaT-scan. Screening for underlining neoplasia was performed with an entire body CT scan, bronchoscopy, gastroscopy, and genitourinary ultrasound. PET-FDG is pending.
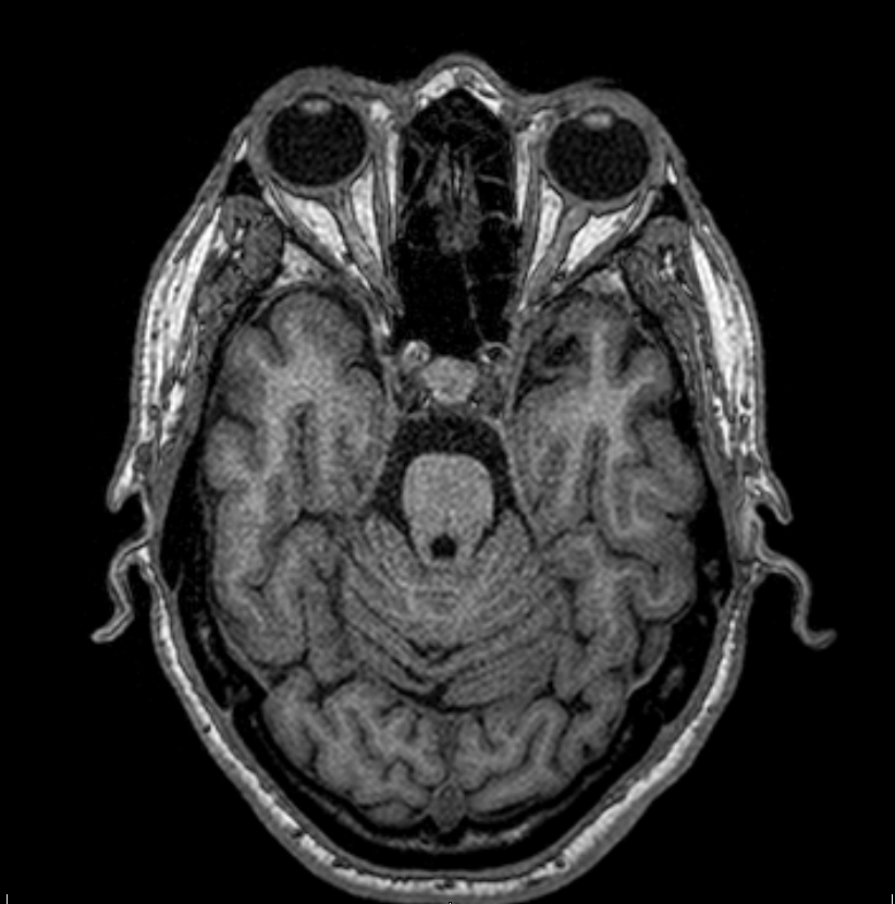
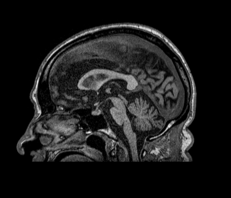
Results: A 65 year old male patient with just a past history of smoking who presented to the neurology consult with a 5 year history of slow progressive gait instability, dizziness. sexual dysfunction and urinary incontinence. His neurological examination revealed an ataxic gait, with right rigidity and bilateral dysmetria and bradykinesia. Laboratory work up revealed negative infectious and rheumatologic tests, a hyperproteinorrachia with no pleocytosis in CSF, a normal Dat Scan, and a brain MRI with severe pons, middle cerebellar peduncles and cerebellar atrophy (figure 1 and 2). Paraneoplastic panel was positive in two different samples for Yo-1 antibodies. Screening for underlining neoplasia was negative for breast, lung, gastric and prostate cancer. The patient received a 5 days cycle of IV immunoglobulin with a marked improvement in his gait, balance and limb symptoms.
Conclusion: This case highlights the importance of always considering paraneoplastic syndromes as part of the differential diagnosis of atypical parkinsonism. Even though, paraneoplastic antibodies have well-described clinical syndromes, we must consider the possibility of rare presentations with add on symptoms or more insidious and less aggressive courses.
Figure 1. Pons atrophy
Figure2. Cerebellar and pons atrophy.
References: 1) A. Venkatraman y P. Opal. 2016. Paraneoplastic cerebellar degeneration with anti Yo antibodies-a review, Annals of Clinical and Translational Neurology, pp. 655-663.
2) N. Trombini, N. Rossoni y G. D. Silva. 2022 A Systematic Review on Anti-Yo/PCA-1 Antibody: Beyond Cerebellar Ataxia in Middle-Aged Women with Gynecologic Cancer. The Cerebellum, pp. 1287-1292.
To cite this abstract in AMA style:
R. Rodriguez. Anti Yo-1 Antibody Syndrome: A Case Study of a Paraneoplastic Syndrome Mimicking Atypical Parkinsonism [abstract]. Mov Disord. 2025; 40 (suppl 1). https://www.mdsabstracts.org/abstract/anti-yo-1-antibody-syndrome-a-case-study-of-a-paraneoplastic-syndrome-mimicking-atypical-parkinsonism/. Accessed December 12, 2025.« Back to 2025 International Congress
MDS Abstracts - https://www.mdsabstracts.org/abstract/anti-yo-1-antibody-syndrome-a-case-study-of-a-paraneoplastic-syndrome-mimicking-atypical-parkinsonism/


