Category: Autoimmune Movement Disorders
Objective: We describe a unique presentation of AP3B2 antibody with apraxia of speech and cerebellar ataxia.
Background: Adaptor Protein 3B2 (AP3B2) is a subunit of the adaptor complex three protein expressed in the cerebellum and other central and peripheral nervous system regions [1]. AP3B2-IgG antibody has been very rarely described in the literature, reported in association with cerebellar ataxia, myeloneuropathy, peripheral sensory neuronopathy and dysautonomia [2], [3], [4], [5]. Apraxia of speech is a characteristic motor speech disorder described in some neurodegenerative diseases and other neurologic insults, and can be the presenting manifestation of an underlying disease state [6].
Method: Case report
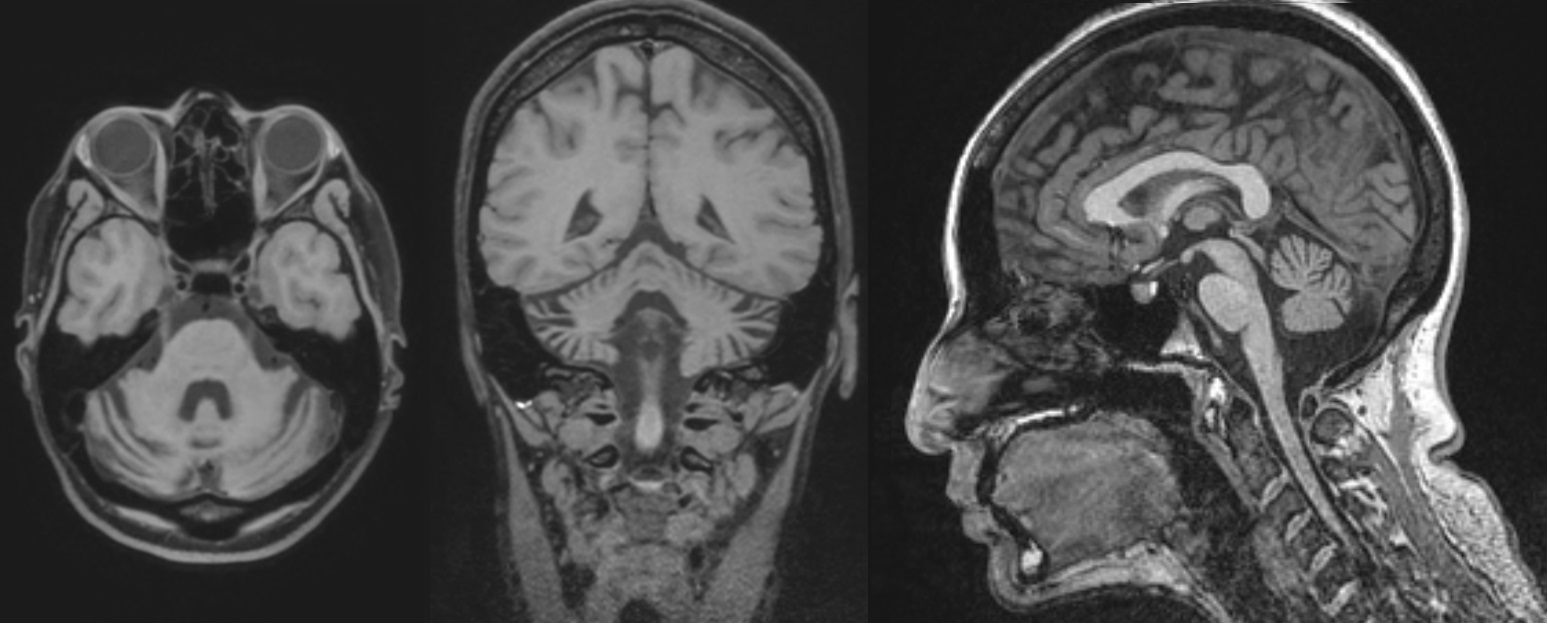
Results: The patient developed progressive issues with speech production beginning at age 28 which advanced over months. The following year she developed gait issues which resulted in falls within a year of onset, and difficulty coordinating her right upper extremity. Neurologic examination at time of initial evaluation at our center, 19 months after symptom onset, was notable for a wide-based ataxic appearing gait, and she was unable to tandem walk due to unsteadiness. There was mild upper extremity ataxia and dysmetria, mild to moderate ataxia with heel-to-shin movements, and subtle parkinsonian features. Speech pathology evaluation revealed a slow speaking rate with inter word segmentation, revisions and restarts, apractic sound errors and a reduced range of prosodic variation, with slow but otherwise normal speech AMRs. MRI of the brain 19 months after symptom onset showed cerebellar atrophy with prominent involvement of the right greater than left cerebellar hemisphere [figure1] and corresponding hypometabolism was seen on FDG brain PET CT [figure2]. AP3B2 antibody was positive in serum and CSF on tissue immunofluorescence and cell binding assay. FDG body PET CT showed no evidence of malignancy. She noted improvements in mobility and balance four weeks after starting methylprednisolone and mycophenolate.
Conclusion: We describe a novel presentation of AP3B2 antibody associated disease with the prosodic variant of apraxia of speech. This phenotype may provide additional insight into the pathophysiology and vast networks involved in AP3B2 antibody disease and aid in earlier recognition of this potentially treatable immune-mediated disorder.
Figure 1
Figure 2
References: [1] Mange L, Haitao R, Lixin Z, Siyuan F, Jing W, Hongzhi G. Cerebellar ataxia and myeloradiculopathy associated with AP3B2 antibody: a case report and literature review. J Neurol. 2021 Nov;268(11):4163-4169.
[2] Vilaseca A, Do LD, Miske R, Ciano-Petersen NL, Khatib L, Villagrán-García M, Farina A, Rogemond V, Komorowski L, Gonçalves D, Joubert B, Honnorat J. The expanding spectrum of antibody-associated cerebellar ataxia: report of two new cases of anti-AP3B2 ataxia. J Neurol. 2023 Sep;270(9):4533-4537.
[3] Garza M, Piquet AL. Update in Autoimmune Movement Disorders: Newly Described Antigen Targets in Autoimmune and Paraneoplastic Cerebellar Ataxia. Front Neurol. 2021 Aug 18;12:683048.
[4] Narayan RN, McKeon A, Fife TD. Autoimmune Vestibulocerebellar Syndromes. Semin Neurol. 2020 Feb;40(1):97-115.
[5] Honorat JA, Lopez-Chiriboga AS, Kryzer TJ, Komorowski L, Scharf M, Hinson SR, Lennon VA, Pittock SJ, Klein CJ, McKeon A. Autoimmune gait disturbance accompanying adaptor protein-3B2-IgG. Neurology. 2019 Sep 3;93(10):e954-e963.
[6] Utianski RL, Josephs KA. An Update on Apraxia of Speech. Curr Neurol Neurosci Rep. 2023 Jul;23(7):353-359.
To cite this abstract in AMA style:
E. Ruether, A. Aksamit, D. Dubey, J. Stierwalt, S. Syc-Mazurek. Apraxia of Speech as a Presenting Feature in AP3B2 Antibody Associated Cerebellar Ataxia [abstract]. Mov Disord. 2025; 40 (suppl 1). https://www.mdsabstracts.org/abstract/apraxia-of-speech-as-a-presenting-feature-in-ap3b2-antibody-associated-cerebellar-ataxia/. Accessed December 10, 2025.« Back to 2025 International Congress
MDS Abstracts - https://www.mdsabstracts.org/abstract/apraxia-of-speech-as-a-presenting-feature-in-ap3b2-antibody-associated-cerebellar-ataxia/


