Category: Parkinsonism (Other)
Objective: To describe the clinical, neuroimaging, and neuropathological features of a patient with frontotemporal dementia (FTD) and parkinsonism related to mutation in the SQSTM1 gene.
Background: SQSTM1 gene mutations, originally linked to Paget’s disease of bone (PBD), are also associated with ALS, FTD, and FTD-ALS, involving p62 and TDP-43 pathology. p62 co-localizes with tau, alpha-synuclein, and FUS inclusions. While parkinsonism is uncommon in SQSTM1 cases, our patient’s presentation expands the clinical spectrum of this mutation.
Method: Clinical data, neuroimaging, and filtered exome sequencing were obtained from the patient’s medical records. Neuropathological analysis was conducted at a regional hospital and a local brain bank.
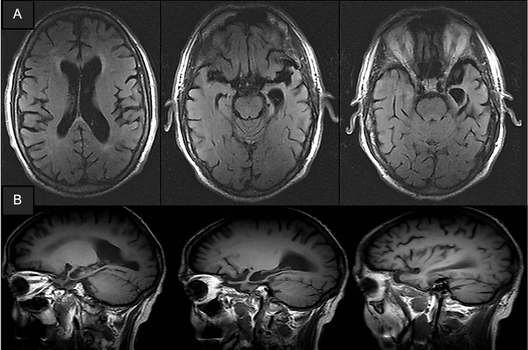
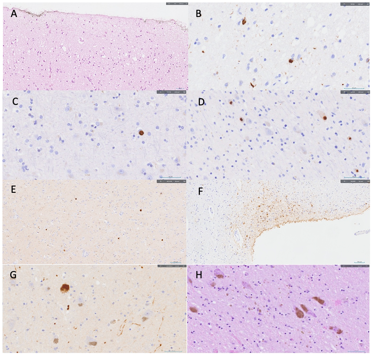
Results: A 78-year-old man presented with a six-year history of progressive memory decline, initially marked by difficulty with recent memory and mild anomia, evolving into motor clumsiness, gait impairment, language difficulties, and behavioural changes. Asymmetric parkinsonism emerged in later stages. Brain imaging revealed left temporal lobe atrophy and frontotemporal hypometabolism, with a negative amyloid PET, leading to a diagnosis of frontotemporal dementia [Figure 1 and 2]. Genetic analysis by exome sequencing revealed a mutation in the SQSTM1 gene (c.1210A>G; p. (Met404Val). Post-mortem brain autopsy confirmed frontotemporal lobar degeneration with atypical TDP-43 protein distribution, along coexisting with tau and Lewy body pathology [Figure 3].
Conclusion: Our findings describe an amnestic-predominant variant of FTD associated with parkinsonism and PBD due to an SQSTM1 mutation. It highlights the disease spectrum, emphasizing the importance of amnesic onset and parkinsonism in diagnosis. Further neuropathological studies are needed to uncover factors driving phenotypic diversity.
Figure 1. Brain MRI
Figure 2. [18F]-FDG PET and amyloid PET images.
Figure 3. Neuropathological alterations
References: 1. Hogan DB, Jetté N, Fiest KM, et al. The Prevalence and Incidence of Frontotemporal Dementia: a Systematic Review. Can J Neurol Sci Le J Can des Sci Neurol. 2016;43 Suppl 1:S96-S109. doi:10.1017/cjn.2016.25
2. Van Langenhove T, van der Zee J, Van Broeckhoven C. The molecular basis of the frontotemporal lobar degeneration-amyotrophic lateral sclerosis spectrum. Ann Med. 2012;44(8):817-828. doi:10.3109/07853890.2012.665471
3. Kovacs GG, van der Zee J, Hort J, et al. Clinicopathological description of two cases with SQSTM1 gene mutation associated with frontotemporal dementia. Neuropathology. 2016;36(1):27-38. doi:10.1111/neup.12233
4. Rea SL, Majcher V, Searle MS, Layfield R. SQSTM1 mutations–bridging Paget disease of bone and ALS/FTLD. Exp Cell Res. 2014;325(1):27-37. doi:10.1016/j.yexcr.2014.01.020
5. Katsuragi Y, Ichimura Y, Komatsu M. p62/SQSTM1 functions as a signaling hub and an autophagy adaptor. FEBS J. 2015;282(24):4672-4678. doi:10.1111/febs.13540
To cite this abstract in AMA style:
C. Espinoza Vinces, M. Zelaya Huerta, V. Coca Pueyo, G. Montoya Murillo, A. Patiño García, R. Villino Rodríguez, A. Atorrasagasti Villar, J. Arbizu, M. Riverol. Atypical Frontotemporal Dementia with Parkinsonism Linked to SQSTM1 Mutation A Clinicopathological Case Study [abstract]. Mov Disord. 2025; 40 (suppl 1). https://www.mdsabstracts.org/abstract/atypical-frontotemporal-dementia-with-parkinsonism-linked-to-sqstm1-mutation-a-clinicopathological-case-study/. Accessed December 12, 2025.« Back to 2025 International Congress
MDS Abstracts - https://www.mdsabstracts.org/abstract/atypical-frontotemporal-dementia-with-parkinsonism-linked-to-sqstm1-mutation-a-clinicopathological-case-study/


![Figure 2. [18F]-FDG PET and amyloid PET images.](http://www.mdsabstracts.org/wp-content/uploads/2025/09/0936_1402_000735_2.png)
