Category: Parkinson's Disease: Genetics
Objective: To describe the case of a patient with early-onset Parkinson’s Disease (PD) with variants of the VPS13A gene.
Background: The vacuolar protein sorting 13A (VPS13A) is involved in cellular homeostasis. Its mutation is associated with various neurodegenerative diseases and movement disorders. Dysfunction of VPS13A has been linked to alterations in cortico-striatal synaptic plasticity and may be a genetic cause of early-onset PD.
Method: A 42-year-old woman, mestizo Mexican, right-handed. She began experiencing rigidity, bradykinesia, and right-sided tremor at the age of 35, which became bilateral after 2 years. Diagnosed with PD at 38 years old, treated with levodopa (LD) since then. Clinically, she presents with tremor, rigidity, bradykinesia, gait disturbances, biphasic dyskinesias, vivid dreams, memory failures, and emotional lability.
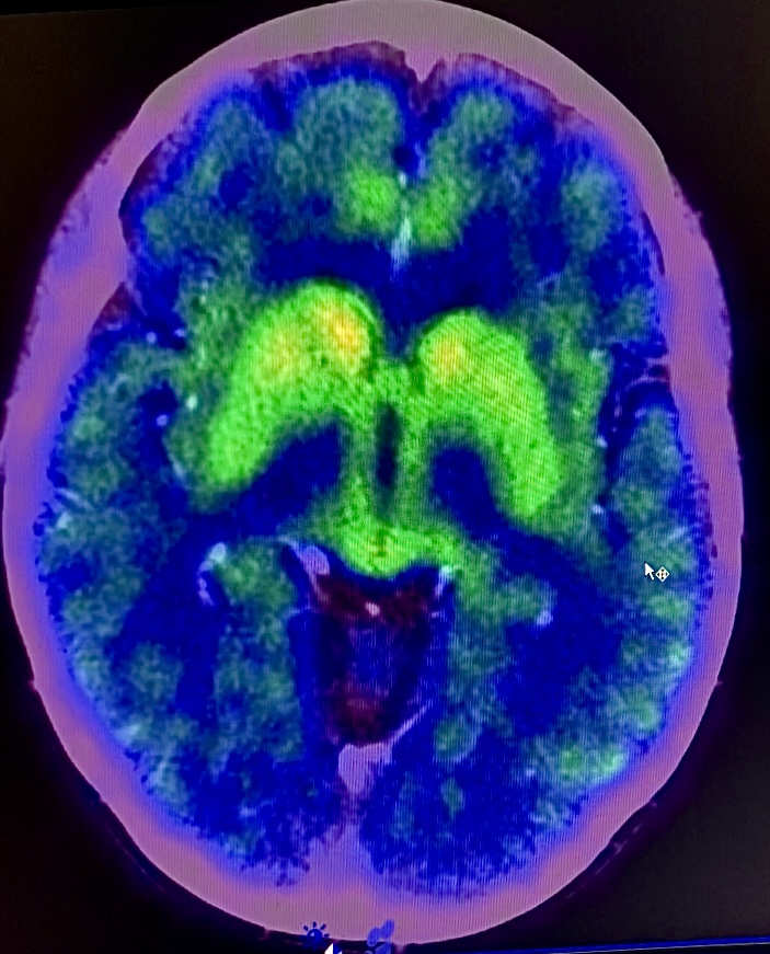
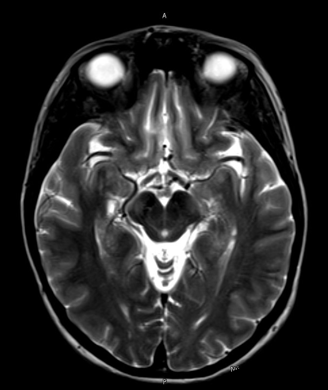
Results: Genetic testing of 61 genes revealed two heterozygous mutations of uncertain significance (c.2233C>T p.His745Tyr and c.8341T>A p.Ser2781Thr) in the VPS13A gene. Magnetic Resonance Imaging (MRI), with absence of the “swallow tail” sign in the left cerebral peduncle. PET-F-Dopa, uptake consistent with presynaptic alteration of the nigrostriatal system and the LD test showed an improvement of >83% within 1 hour after taking medication.
Conclusion: Mutations in the VPS13A gene have been described in conditions such as neuroacanthocytosis, and recent studies have demonstrated its involvement in early-onset PD of the rigid-akinetic variety, with a good response to LD, as seen in our patient. The identified variants are considered of uncertain significance, and further studies are needed to determine their role in the development of PD.
Table 1. Levodopa Test (07.11.23).
Image 1. B (PET-F-Dopa 22.02.24).
Image 1. A (MRI 06.11.23)
References: 1. García-García, E., Ramón-Lainez, A., Conde-Berriozabal, S., Del Toro, D., Escaramis, G., Giralt, A., … & Rodríguez, M. J. (2023). VPS13A knockdown impairs corticostriatal synaptic plasticity and locomotor behavior in a new mouse model of chorea-acanthocytosis. Neurobiology of Disease, 187, 106292.
2. Kim, A., Chae, H. Y., & Park, H. S. (2022). Compound heterozygous VPS13A variants in a patient with neuroacanthocytosis: a case report and review of the literature. Laboratory Medicine, 53(4), 433-435.
3. Chen, X., Zhang, P., Wang, L., & Zhang, Y. (2023). Novel heterozygous VPS13A pathogenic variants in chorea-neuroacanthocytosis: a case report. BMC neurology, 23(1), 350.
To cite this abstract in AMA style:
H. Pacheco, V. Gómez, C. Sánchez, L. Núñez. Mutations of the VPS13A gene in a patient with Early-Onset Parkinson’s Disease: A case report. [abstract]. Mov Disord. 2025; 40 (suppl 1). https://www.mdsabstracts.org/abstract/mutations-of-the-vps13a-gene-in-a-patient-with-early-onset-parkinsons-disease-a-case-report/. Accessed December 7, 2025.« Back to 2025 International Congress
MDS Abstracts - https://www.mdsabstracts.org/abstract/mutations-of-the-vps13a-gene-in-a-patient-with-early-onset-parkinsons-disease-a-case-report/



