Category: Parkinson's Disease (Other)
Objective: To present management plan employed in treatment of a case of traumatic exposure of lead wires in a known case of Idiopathic Parkinson’s disease(PD) earlier treated with deep brain stimulation(DBS) surgery who presented with exposed implants.
Background: Complications which result due to the hardware involved in deep brain stimulation surgery for parkinsons disease such as exposure of the lead wires, erosion of the overlying skin, infections and so on are well known. There have been accounts of such complications in literature (5) , however the number of cases of traumatic exposure of hardware has been scarce. Head injury occuring in a PD patient already treated with DBS and its successful management is not well described in litearture. In this rare case report we wish to elucidate the details and step by step of management of one such case which may help in management of such cases in future.
Method: A 67-year-old gentleman – a case of Parkinson’s disease for more than 15 years who had undergone Deep Brain stimulation (DBS) in 2009. He presented to the emergency department with a scalp laceration following head injury with exposure of the DBS leads.
Management of case :
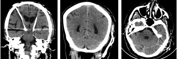
1. CT scan of the brain was done which showed the DBS leads in favourable anatomical place. Image fusion was performed by using present CT scan and old MRI.(FIGURE 2)
2. Xray of Head (AP and lateral) and contiguous Chest x ray was done which showed continuity of the lead wires into the battery.(FIGURE 1)
3. Impedance (using the standard impedance measurement tools) of the entire circuit was intact .
4.Ryles tube based feeds and supplementation of syndopa was started to bring the patient back to normal sensorium.
5. He underwent exploration of the lacerated wound under short general anaesthesia. It was noted that both leads had been exposed and there was no visible damage to either of them.
Results: Patient was discharged in stable condition
Conclusion: A standard protocol in dealing with such traumatic exposure of DBS implants can be formulated like this.
1. Ensure physical continuity of implants/circuits using CT / Xray as described earlier.
2. Ensure proper impedances of electrical circuit.
3. Ensure no wound infection in delayed presentations.
4. Optimise syndopa levels clinically.
5. Undertake Operative procedure for reimplanation/ wound closures safely.
6. Check impedances to ensure integrity of circuit.
7. Use antibiotics judicially.
FIGURE 1
FIGURE 2
TABLE 1
References: 1. Benabid AL, Pollak P, Louveau A, Henry S, de Rougemont J. Combined (thalamotomy and
stimulation) stereotactic surgery of the VIM thalamic nucleus for bilateral Parkinson
disease. Appl Neurophysiol 1987;50:344–346.
2. Doshi PK. Expanding indications for deep brain stimulation. Neurol India 2018;66:
S102–S112.
3. Doshi PK, Rai N, Das D. Surgical and Hardware Complications of Deep Brain Stimulation-A
Single Surgeon Experience of 519 Cases Over 20 Years. Neuromodulation. 2022
Aug;25(6):895-903. doi: 10.1111/ner.13360. Epub 2022 Feb 15. PMID: 33496063.
4. Fenoy AJ, Simpson RK Jr. Management of device-related wound complications in deep
brain stimulation surgery. J Neurosurg. 2012 Jun;116(6):1324-32. doi:
10.3171/2012.1.JNS111798. Epub 2012 Mar 9. PMID: 22404671.
5. Spiotta AM, Bain MD, Deogaonkar M, Boulis NM, Rezai AR, Hammert W, Lucas AR.
Methods of scalp revision for deep brain stimulator hardware: case report.
Neurosurgery. 2008 Mar;62(3 Suppl 1):249-50; discussion 250. doi:
10.1227/01.neu.0000317400.38960.bf. PMID: 18424993.
6. Paluzzi A, Belli A, Bain P, Liu X, Aziz TM: Operative and hardware compli cations of deep
brain stimulation for movement disorders. Br J Neurosurg 20:290–295, 2006.
To cite this abstract in AMA style:
A. Uppar. Traumatic DBS Implant exposure following head injury and its management – a case report. [abstract]. Mov Disord. 2025; 40 (suppl 1). https://www.mdsabstracts.org/abstract/traumatic-dbs-implant-exposure-following-head-injury-and-its-management-a-case-report/. Accessed November 16, 2025.« Back to 2025 International Congress
MDS Abstracts - https://www.mdsabstracts.org/abstract/traumatic-dbs-implant-exposure-following-head-injury-and-its-management-a-case-report/



