Category: Parkinson's disease: Neuroimaging
Objective: This work is motivated by the need for atlas creation tools for susceptibility maps presurgically acquired for deep brain stimulation (DBS). Segmentations aid in electrode targeting and longitudinal analysis in DBS candidates. Susceptibility maps provide excellent contrast of targets, including the subthalamic nucleus (STN), globus pallidus internus and externus (GP), substantia nigra (SN), dentate nucleus (DN) and putamen (PUT). A multi-contrast atlas creation tool improving target visualization is presented, with scripts available upon publication.
Background: Quantitative susceptibility maps (QSMs) have demonstrated superior contrast1-3 on deep gray nuclei targeted in DBS. Pathological changes result in poor registration to healthy subjects atlases4 and require atlases such as McGill PD-255,6. Study-specific atlases account for pathology and best represent populations of interest7. Hybrid templates T1w and QSM atlases exist8,9 but increase registration error. Existing toolboxes12,13 contain repositories14 rather than atlas creation tools. Source separation and myelin mapping further improve target contrasts and are included.
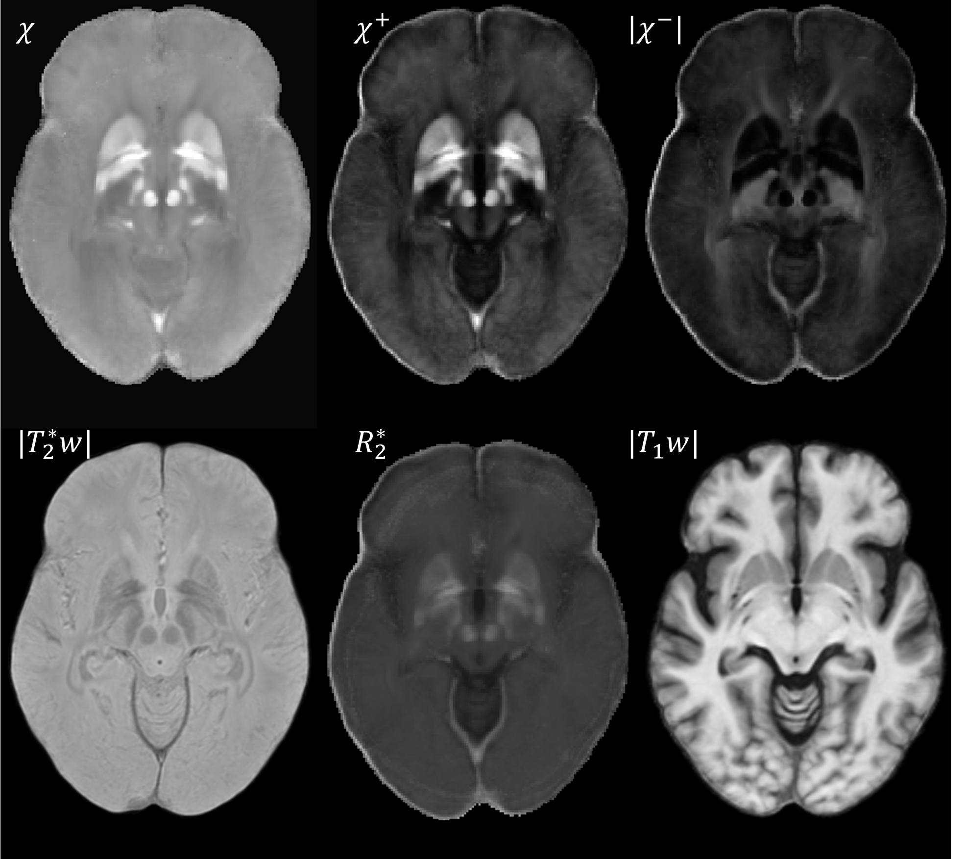
Method: QSMs acquired from a multi-echo gradient echo sequence and susceptibility15,16,17,18,19,20,21 and R2*22, source separation23 and myelin maps24 were reconstructed. The magnitude T2*w atlas was generated after bias correction25, brain extraction26, and template construction27 in Advanced Normalization Tools28 with co-registered susceptibility and relaxation atlases. Inverse transforms map segmentations to patient space [figure1].
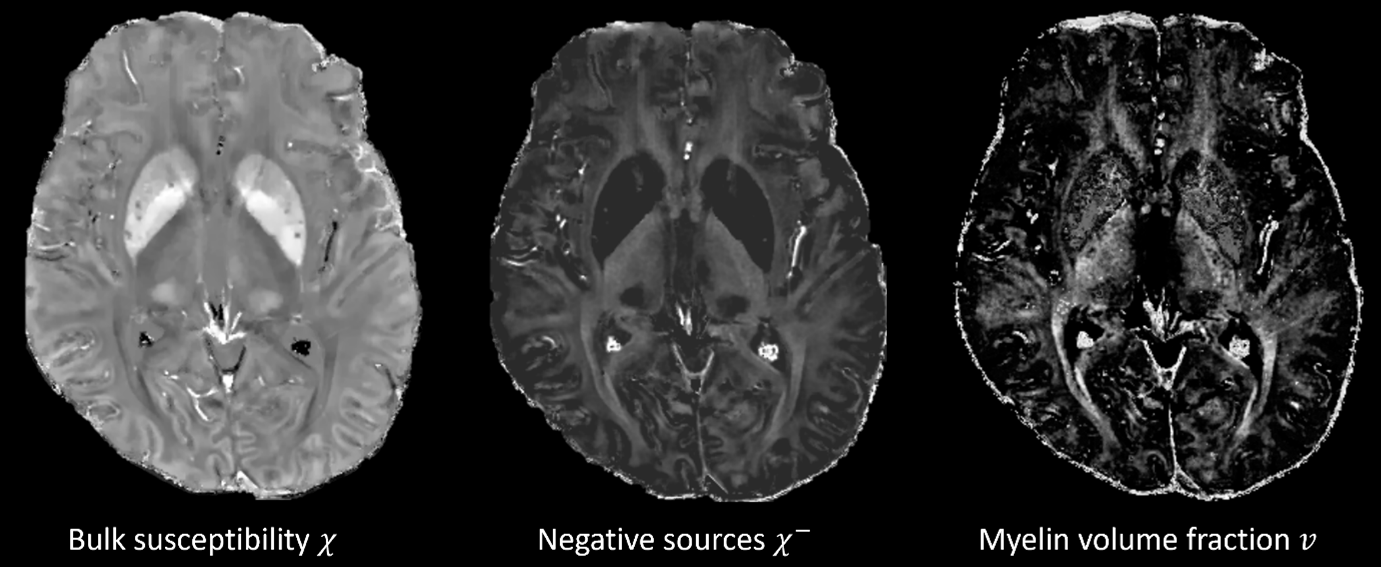
Results: The proposed atlas shows improvement over the McGill atlas in segmentations [figure2]. Applying transforms to relaxation and susceptibility map generates atlases in [fgure3]. The DN visualization, STN/SN delineation and GP/PUT contrast is improved in the susceptibility maps χ, χ+ [figure4] compared to structural T1w. White matter tracts on negative source χ– and myelin fraction v are visible [figure5].
Conclusion: The proposed tool creates high contrast atlases of DBS targets and myelin mapping improves depiction of white matter tracts, critical trajectory planning. The added contrasts are reconstructed the presurgical QSM sequence. Other targets including ventral intermediate, centromedian, and the anterior thalamic nuclei can be explored. Output segmentations aid in surgical outcome prediction29,30 from preoperative imaging.
Created template to patient space.
Masks via McGill atlas and proposed method.
Presented multi-contrast atlas.
White matter tracts on mGRE maps.
Improved visualization GP, PUT, STN, SN, and DN.
References: 1. Dimov AV, Gupta A, Kopell BH, Wang Y. High-resolution QSM for functional and structural depiction of subthalamic nuclei in DBS presurgical mapping. Journal of Neurosurgery. 2019;131(2):360-367. doi:10.3171/2018.3.jns172145
2. Liu T, Eskreis-Winkler S, Schweitzer AD, et al. Improved subthalamic nucleus depiction with quantitative susceptibility mapping. Radiology. Oct 2013;269(1):216-23. doi:10.1148/radiol.13121991
3. Roberts AG, Kovanlikaya I, Kopell B, Spincemaille P, Nguyen T, Wang Y. Improved Visualization of the Medial Medullary Lamina via Phase Priors in Quantitative Susceptibility Mapping. presented at: International Society of Magnetic Resonance in Medicine; 2023; Toronto, Canada.
4. Angelidakis L, Papageorgiou IE, Damianou C, et al. Computation of an MRI brain atlas from a population of Parkinson’s disease patients. J Phys Conf Ser. 2017/11 2017;931:012006. doi:10.1088/1742-6596/931/1/012006
5. Xiao Y, Fonov V, Bériault S, et al. Multi-contrast unbiased MRI atlas of a Parkinson’s disease population. International Journal of Computer Assisted Radiology and Surgery. 2015;10(3):329-341. doi:10.1007/s11548-014-1068-y
6. Xiao Y, Fonov V, Chakravarty MM, et al. A dataset of multi-contrast population-averaged brain MRI atlases of a Parkinson׳s disease cohort. Data Brief. 2017/6 2017;12:370-379. doi:10.1016/j.dib.2017.04.013
7. Thompson PM, Woods RP, Mega MS, Toga AW. Mathematical/computational challenges in creating deformable and probabilistic atlases of the human brain. Hum Brain Mapp. 2000/2 2000;9(2):81-92. doi:10.1002/(sici)1097-0193(200002)9:2<81::aid-hbm3>3.0.co;2-8
8. Li X, Chen L, Kutten K, et al. Multi-atlas tool for automated segmentation of brain gray matter nuclei and quantification of their magnetic susceptibility. NeuroImage. 2019;191:337-349. doi:10.1016/j.neuroimage.2019.02.016
9. Yu B, Li L, Guan X, et al. HybraPD atlas: Towards precise subcortical nuclei segmentation using multimodality medical images in patients with Parkinson disease. Human Brain Mapping. 2021;42(13):4399-4421. doi:10.1002/hbm.25556
10. Lao G, Liu Q, Li Z, et al. Sub‐voxel quantitative susceptibility mapping for assessing whole‐brain magnetic susceptibility from ages 4 to 80. Human Brain Mapping. 2023;44(17):5953-5971. doi:10.1002/hbm.26487
11. Kyeongseon Min, Beomseok Sohn, Woo Jung Kim, et al. A human brain atlas of χ-separation for normative iron and myelin distributions.2311.04468Located at: arXiv.
12. Horn A, Li N, Dembek TA, et al. Lead-DBS v2: Towards a comprehensive pipeline for deep brain stimulation imaging. NeuroImage. 2019/01/01/ 2019;184:293-316. doi:https://doi.org/10.1016/j.neuroimage.2018.08.068
13. D’Albis T, Haegelen C, Essert C, Fernández-Vidal S, Lalys F, Jannin P. PyDBS: an automated image processing workflow for deep brain stimulation surgery. International Journal of Computer Assisted Radiology and Surgery. 2015;10(2):117-128. doi:10.1007/s11548-014-1007-y
14. Ewert S, Plettig P, Li N, et al. Toward defining deep brain stimulation targets in MNI space: A subcortical atlas based on multimodal MRI, histology and structural connectivity. NeuroImage. 2018;170:271-282. doi:10.1016/j.neuroimage.2017.05.015
15. De Rochefort L, Liu T, Kressler B, et al. Quantitative susceptibility map reconstruction from MR phase data using bayesian regularization: Validation and application to brain imaging. Magnetic Resonance in Medicine. 2010;63(1):194-206. doi:10.1002/mrm.22187
16. Liu Z, Spincemaille P, Yao Y, Zhang Y, Wang Y. MEDI+0: Morphology enabled dipole inversion with automatic uniform cerebrospinal fluid zero reference for quantitative susceptibility mapping. Magnetic Resonance in Medicine. 2018;79(5):2795-2803. doi:10.1002/mrm.26946
17. Dimov AV, Nguyen TD, Spincemaille P, et al. Global cerebrospinal fluid as a zero‐reference regularization for brain quantitative susceptibility mapping. Journal of Neuroimaging. 2022;32(1):141-147. doi:10.1111/jon.12923
18. Liu T, Wisnieff C, Lou M, Chen W, Spincemaille P, Wang Y. Nonlinear formulation of the magnetic field to source relationship for robust quantitative susceptibility mapping. Magnetic Resonance in Medicine. 2013;69(2):467-476. doi:10.1002/mrm.24272
19. Dymerska B, Eckstein K, Bachrata B, et al. Phase unwrapping with a rapid opensource minimum spanning tree algorithm (ROMEO). Magnetic Resonance in Medicine. 2021;85(4):2294-2308. doi:10.1002/mrm.28563
20. Liu T, Khalidov I, De Rochefort L, et al. A novel background field removal method for MRI using projection onto dipole fields (PDF). NMR in Biomedicine. 2011;24(9):1129-1136. doi:10.1002/nbm.1670
21. Roberts AG, Romano DJ, Şişman M, et al. Maximum spherical mean value filtering for whole‐brain QSM. Magnetic Resonance in Medicine. 2024;91(4):1586-1597. doi:10.1002/mrm.29963
22. Pei M, Nguyen TD, Thimmappa ND, et al. Algorithm for fast monoexponential fitting based on Auto-Regression on Linear Operations (ARLO) of data. Magnetic Resonance in Medicine. 2015;73(2):843-850. doi:10.1002/mrm.25137
23. Dimov AV, Nguyen TD, Gillen KM, et al. Susceptibility source separation from gradient echo data using magnitude decay modeling. Journal of Neuroimaging. 2022;32(5):852-859. doi:10.1111/jon.13014
24. Şişman M, Nguyen TD, Roberts AG, et al. Microstructure-Informed Myelin Mapping (MIMM) from Gradient Echo MRI using Stochastic Matching Pursuit. Cold Spring Harbor Laboratory; 2023.
25. Tustison NJ, Avants BB, Cook PA, et al. N4ITK: Improved N3 Bias Correction. IEEE Transactions on Medical Imaging. 2010;29(6):1310-1320. doi:10.1109/tmi.2010.2046908
26. Avants BB, Tustison NJ, Wu J, Cook PA, Gee JC. An Open Source Multivariate Framework for n-Tissue Segmentation with Evaluation on Public Data. Neuroinformatics. 2011;9(4):381-400. doi:10.1007/s12021-011-9109-y
27. Avants BB, Yushkevich P, Pluta J, et al. The optimal template effect in hippocampus studies of diseased populations. NeuroImage. 2010;49(3):2457-2466. doi:10.1016/j.neuroimage.2009.09.062
28. Avants BB, Tustison NJ, Song G, Cook PA, Klein A, Gee JC. A reproducible evaluation of ANTs similarity metric performance in brain image registration. NeuroImage. 2011;54(3):2033-2044. doi:10.1016/j.neuroimage.2010.09.025
29. Roberts A, Zhang J, Tozlu C, et al. Radiomic prediction of Parkinson’s disease deep brain stimulation surgery outcomes using quantitative susceptibility mapping and label noise compensation. neuromodecJ. 2024/10/1 2024;doi:10.31641/nmj-ogms6387
30. Roberts AG, Romano D, Zhang J, et al. QRadAR: An Open-source Toolbox for Quantitative Magnetic Resonance Radiomics Analysis and Reproducibility. presented at: International Society of Magnetic Resonance in Medicine (Submitted); 2023; Singapore.
To cite this abstract in AMA style:
A. Roberts, J. Avecillas-Chasin, M. Spadaccia, S. Akkus, A. Dimov, M. Sisman, P. Spincemaille, T. Nguyen, B. Kopell, Y. Wang. χ-DBS: An Open-Source Susceptibility Atlas Tool for Deep Brain Stimulation Target Visualization and Segmentation [abstract]. Mov Disord. 2025; 40 (suppl 1). https://www.mdsabstracts.org/abstract/%cf%87-dbs-an-open-source-susceptibility-atlas-tool-for-deep-brain-stimulation-target-visualization-and-segmentation/. Accessed May 22, 2026.« Back to 2025 International Congress
MDS Abstracts - https://www.mdsabstracts.org/abstract/%cf%87-dbs-an-open-source-susceptibility-atlas-tool-for-deep-brain-stimulation-target-visualization-and-segmentation/





